Отсутствие зубов у ребенка в год может быть нормальным явлением, так как у каждого малыша индивидуальный срок роста зубов. Обычно первые зубы начинают прорезываться в диапазоне от 6 до 12 месяцев, но это может варьироваться, и у некоторых детей это происходит позже.
Кроме того, задержка в прорезывании зубов может быть связана с генетическими факторами, особенностями развития или дефицитом витаминов и минералов. Если родители обеспокоены отсутствием зубов у ребенка, рекомендуется проконсультироваться с педиатром или детским стоматологом для получения профессиональной оценки.
Отсутствие зубов у ребенка
Почему у малыша не появляются зубки? Этот вопрос беспокоит многих родителей и заставляет их обращаться к стоматологам при возникновении такой ситуации. Прорезывание зубов является сложным и длительным процессом, который занимает несколько лет. В промежутке с 6 месяцев до 3 лет у детей формируются зачатки зубов, устанавливается их расположение в челюсти. Если этот процесс затягивается, родители начинают волноваться.
Первоначальное становление зубных единиц начинается еще в материнской утробе. На момент рождения в челюстных костях уже имеются зачатки зубов.
Первым через десны обычно прокладывают путь фронтальные резцы, которые могут появляться парами. Обычно это происходит в возрасте от 4 до 6 месяцев, но в редких случаях первый зуб может появиться лишь в 14-16 месяцев, к трем годам у ребенка должно быть около 20 зубов.
После этого начинает происходить смена временных зубов на постоянные, что продолжается примерно до 13-14 лет. Полное формирование зубного ряда завершается к 25 годам, когда появляется последний моляр – зуб мудрости.
Если к 1,5 годам у малыша еще нет ни одного зуба, это повод для беспокойства и необходимости обратиться к стоматологу для комплексного обследования с целью выяснения причин.
Причины задержки появления зубов могут быть различными. Одной из них может быть наследственная предрасположенность. Если у родителей в детстве были похожие проблемы, вероятно, что это может проявиться у ребенка. Также недостаток витаминов и минералов, особенно витаминов D и кальция, может негативно сказаться на здоровье зубов и их прорезывании. Важно следить за полноценным питанием малыша и при необходимости проконсультироваться с педиатром о добавлении витаминных комплексов.
Некоторые заболевания, такие как расстройства эндокринной системы или генетические аномалии, могут влиять на процесс формирования зубов. В редких случаях задержка может свидетельствовать о серьезных медицинских состояниях, поэтому высококвалифицированный стоматолог сможет провести необходимые исследования и предложить соответствующие рекомендации.
Не забывайте, что раннее обращение к специалисту позволит выявить проблемы на начальном этапе и обеспечить необходимую помощь, чтобы избежать более серьезных последствий в будущем. Здоровье зубов – важная часть общего здоровья вашего ребенка.
Факторы, влияющие на скорость прорезывания резцов, премоляров и моляров
У девочек зубы, как правило, начинают прорезываться раньше, чем у мальчиков, что объясняется различиями в развитии организма. Исключение составляет первый жевательный премоляр верхней челюсти, который у мальчиков может прорезываться раньше.
Нижние зубы у детей, как правило, появляются быстрее, тогда как моляры могут проявляться позже. Также отмечено, что в теплых климатических условиях зубы склонны появляться в срок или даже раньше.
Некоторые исследования показывают, что наследственность также играет важную роль в процессе прорезывания зубов. Если у родителей были проблемы с зубами или задержка в прорезывании, то это может передаться и детям.
Медленный процесс прорезывания зуба сам по себе не является проблемой, но это может привести к будущим трудностям. В более старшем возрасте такие личности чаще становятся клиентами стоматологических клиник, нуждаясь в ортодонтическом лечении. Кроме того, позднее прорезывание может повысить риск возникновения неправильного прикуса, что может вызвать как физический, так и психологический дискомфорт.
Важно также отметить, что общее состояние здоровья ребенка и его питание могут влиять на процесс прорезывания зубов. Недостаток определенных витаминов и минералов, таких как кальций и витамин D, может замедлить этот процесс.
Родителям рекомендуется регулярно посещать стоматолога с детьми для мониторинга здоровья зубов и десен, начиная с первого года жизни. Это позволит своевременно выявить возможные проблемы и принять меры для их устранения.
Особенности процесса прорезывания зубов
Зубы у детей прорезываются постепенно, и это является сложным физиологическим процессом, который продолжается несколько лет. В это время происходит образование зачатков зубов и их движение внутри челюсти. Чаще всего пролезывание зубов протекает болезненно. На этом этапе меняется прикус: временный (молочный) заменяется на постоянный.
Это связано с развитием костной ткани у ребенка, особенно с ростом черепа. Формируются не только костные структуры, но и мягкие ткани вокруг зубов, а корни молочных зубов растворяются, чтобы освободить место для постоянных.
Начало формирования зубов у ребенка происходит еще на стадии эмбрионального развития. Полное завершение этого процесса происходит с появлением зубов мудрости, что случается приблизительно к 25 годам.
Первые зубы, как правило, появляются в возрасте от 6 до 12 месяцев, и это может быть связано с индивидуальными особенностями развития каждого ребенка. В период прорезывания зубов дети могут испытывать дискомфорт, раздражительность, и даже проявлять признаки легкой жара. В таких случаях родителям стоит обратить внимание на гигиену полости рта, чтобы предотвратить потенциальные инфекции.
Стадия прорезывания молочных зубов завершается к 3 годам, и с этого момента важно следить за здоровьем зубов, даже если они временные. Профессиональная стоматологическая помощь с раннего возраста поможет избежать осложнений и обеспечит здоровое развитие постоянных зубов.
Каждый этап роста зубов индивидуален, и если у вас есть беспокойства по поводу их прорезывания или здоровья десен, рекомендуется консультироваться со стоматологом, который даст соответствующие рекомендации.
Появление первых зубов
На момент рождения зубы малыша уже формируются внутри челюстной кости. В ней может находиться полный комплект молочных зубов на разных стадиях развития.
Фронтальные резцы начинают формироваться первыми и, как правило, прорезываются в возрасте 6 месяцев. При нормальном развитии зубы обычно появляются попарно, то есть по одному с каждой стороны. Полный комплект из двадцати молочных зубов ожидается к трем годам жизни ребенка.
Если к полутора годам у ребенка нет ни одного зуба, это основание для обращения за консультацией к стоматологу.
Нормальным считается появление первых зубов в возрасте от 4 до 16 месяцев, после чего следующим зубам необходимо время, чтобы появиться.
Постоянные зубы начинают расти примерно в 6-7 лет.
Небольшое отклонение от стандартных сроков не должно вызывать паники, однако полное отсутствие зубов настораживает.
Частичная адентия
Адентия представляет собой врожденное отсутствие зубных зачатков. Обычно отсутствуют две верхние «двоечки». Это может затрагивать как молочные, так и постоянные зубы либо обе группы сразу.
Адентия – это состояние, вызванное сбоями в эмбриональном периоде, во время образования основных органов и систем.
Частичную адентию молочных зубов трудно заметить, так как зубки маленькие и одинаковой формы, а на место отсутствующих могут расти другие. Это не оказывает влияния на процесс жевания.
Если это касается постоянных зубов, то отсутствие заметно визуально. Это может вызвать нарушения прикуса, поскольку «тройки» могут перемещаться на место недостающих «двоек», а другие зубы следуют за ними.

При частичном отсутствии постоянных зубов часто требуется коррекция прикуса и подготовка места под протезирование. Если просто заменить пустое место соседними зубами, это не решит проблему полностью, так как зубной ряд окажется уже, чем должен быть.

Исключение составляют зубы мудрости, или «восьмерки». Их роль менее значительна, у большинства людей они остаются ретинированными, и их потеря не требует протезирования, а отсутствие таких зубов не вредит здоровью и эстетике улыбки.
Полная адентия
Полная адентия – это редкое состояние, при котором отсутствуют зачатки зубов (как молочных, так и постоянных). В этой ситуации зубы не могут прорезаться, так как их нет в челюстной кости.

В медицинской практике имели место случаи, когда у пациента имелись молочные зубы, но постоянные отсутствовали. Выпадение молочных зубов происходило нормально, однако постоянные не появлялись. Родители обращали на это внимание, после чего стоматолог ставил диагноз.
Адентия может быть как врожденной, так и приобретенной, если ребенок в раннем возрасте прошел сложное лечение (например, химиотерапию). В результате воздействия токсичных препаратов зачатки зубов могут быть повреждены.
Дистопия
Дистопия характеризуется неправильным расположением зуба, который прорезался. Иногда зуб может появляться под неверным углом, смещаясь вперед или назад, поворачиваясь вокруг своей оси или растя вторым рядом.
Если дистопированный зуб не прорезался полностью, вокруг него образуются карманы или капюшоны, которые накрывают зуб и куда могут забиваться частички пищи. Это часто приводит к болям, отекам и воспалению десен.
Что такое адентия
Адентия — это отсутствие зубов. Если в челюсти не хватает нескольких зубов, это называется частичной адентией, а если отсутствуют все — полной. Стоматолог проведет диагностику для выявления причины адентии. Рентгенограмма покажет наличие зачатков молочных зубов в челюсти ребенка и поможет выяснить, почему они не прорезываются.
Нарушения в процессе прорезывания могут привести к различным осложнениям:
- Перикоронарит — воспаление десен;
- Абсцесс — гнойное воспаление мягких тканей;
- Остеомиелит — воспалительный процесс, поражающий и мягкие ткани, и челюстную кость.
Что делать, если у годовалого ребенка нет зубов: рекомендации детского стоматолога и возможные причины задержки

Важно выяснить, является ли это отклонением от нормы или особенностью развития. Мы обсудили это с детским стоматологом.
Зубы у детей появляются индивидуально. Существуют средние нормы, однако развитие каждого малыша имеет свою специфику. У некоторых детей первый зуб может появиться в возрасте трех месяцев, у других — в шесть, а некоторым требуется время, и его появление приходится на год и два месяца. До определенного момента не стоит волноваться по этому поводу.
Обычно верхней границей срока появления первых зубов является один год и два месяца. Однако, по мнению специалистов, первый зуб может появиться исключительно к полутора годам.
Недостаток витамина D и кальция является одной из распространенных причин задержки прорезывания зубов. Как только ребенок начинает получать необходимое количество этих веществ, процесс появления зубов может значительно ускориться. Другой потенциальной причиной задержки является воспаление кишечника, которое препятствует усвоению питательных веществ, что в свою очередь тормозит развитие малыша, включая рост его зубов.
Когда следует вызывать тревогу по поводу зубов у детей?
Если зубы отсутствуют у ребенка в возрасте 6-8 месяцев, родителям стоит обратить внимание на возможные проблемы с кишечником и провести обследование уровня витаминов и минералов в организме. Важно отметить, что до достижения возраста одного года и двух месяцев, если ребенок чувствует себя комфортно и развивается нормально, визит к стоматологу может быть отложен. Для поддержки процесса прорезывания зубов полезно давать ребенку что-то твердое для жевания, например, прорезыватели.
Если после года и двух месяцев зубы так и не появляются, стоит проконсультироваться с врачом для диагностики. Специалист может сделать рентген и исключить адентию — частичное или полное отсутствие зубов. Это состояние может быть наследственным, поэтому важно обратить внимание на семейную историю.
Кроме того, родители должны следить за гигиеной ротовой полость ребенка, начиная с появления первых зубов. Регулярная чистка зубов щеточкой для младенцев и использование зубной пасты с фтором в небольших количествах помогают предотвратить кариес. Если у ребенка наблюдаются другие симптомы, такие как отечность десен, сильная боль или высокая температура, необходимо немедленно обратиться к врачу.
Если ребенка мучают боли при прорезывании зубов, можно использовать специальные гели для десен, но перед этим стоит проконсультироваться с педиатром или стоматологом. Важно помнить, что большое количество сахара в рационе и отсутствие регулярного ухода за зубами ведет к проблемам с ротовой полостью в будущем.
Имеются противопоказания. Необходима консультация специалистов.
Норма или патология: когда беспокоиться о зубах?
Обратите внимание на изменения в зубном состоянии: если вы заметили частую sensibilidad, это может указывать на проблемы с эмалью или начальную стадию кариеса. Не игнорируйте симптомы, такие как длительная боль или дискомфорт при жевании, так как они могут сигнализировать о наличии более серьезных заболеваний, например, периодонтита.
Если ваши зубы стали более подвержены кариесу, обратите внимание на рацион: недостаток кальция и других минералов может ускорить процесс разрушения. Регулярные осмотры у стоматолога необходимы для выявления проблем на ранних стадиях. Рекомендуется посещать врача не реже одного раза в полгода.
Появление кровоточивости десен – это сильный сигнал. Причиной может быть воспаление, требующее медицинского вмешательства. Важно соблюдать гигиену: регулярная чистка зубов и использование флоссов помогают предотвратить накопление бактерий.
Если ваши зубы начали менять цвет, это может быть следствием пищи, курения или старения. Однако резкое изменение оттенка может указывать на серьезные проблемы внутри зуба, такие как поражение пульпы. В таких случаях стоит обратиться к врачу для диагностики.
Не забывайте про профилактику: фторсодержащие зубные пасты и ополаскиватели помогут укрепить эмаль и снизить риск кариеса. Также учитывайте рекомендации по правильному питанию и суточному потреблению витаминов.
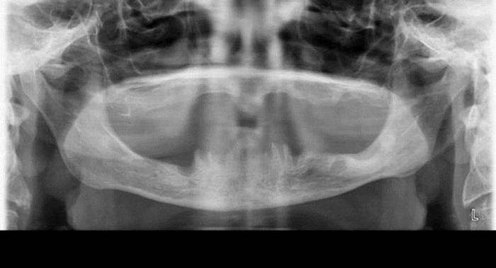
Методы диагностики адентии у детей
Для диагностики адентии у детей используются клинические и инструментальные методы. Первоначально врач проводит визуальный осмотр полости рта, обращая внимание на количество зубов, их состояние и развитие челюстей. При выявлении отсутствия зубов рекомендуется применять рентгенографию. Этот метод позволяет оценить наличие зачатков зубов, что важно для определения причин адентии.
Второй этап диагностики включает использование панорамной рентгенографии, которая дает возможность получить полное изображение всех зубных рядов и челюстей. Это помогает выявить не только адентию, но и возможные патологии, такие как аномалии развития зубов или челюстей.
Также, для дифференцирования типов адентии могут потребоваться генетические тесты. Они актуальны, если существует подозрение на наследственные факторы, влияющие на формирование зубов. Консультация генетика может быть важным этапом в комплексной оценке здоровья ребенка.
Говоря о функциональной оценке, важно проверить фонетические и жевательные функции. Оценка привычек ребенка, таких как сосание пальца или дыхание через рот, также имеет значение, так как они могут влиять на развитие зубного ряда.
Для получения полной картины состояния здоровья малыша возможно привлечение других специалистов: ортодонтов, хирургов и отоларингологов. Их заключения помогут определить дальнейшую тактику лечения и профилактики адентии.
Профилактика проблем с зубами у детей
Регулярные визиты к стоматологу следует планировать примерно раз в полгода. Специалист сможет выявить ранние признаки заболеваний и рекомендовать профилактические меры.
С раннего возраста необходимо приучать детей к правильной гигиене полости рта. Чистка зубов должна начинаться с появления первого зуба. Используйте мягкую щетку для детей и специальную зубную пасту с низким содержанием фтора. Это поможет избежать кариеса и других проблем.
Следите за рационом ребенка. Уменьшите потребление сахара, особенно в виде сладостей и сладких напитков. Обеспечьте сбалансированное питание, включающее фрукты, овощи, молочные продукты и орехи. Эти продукты способствуют укреплению зубной эмали.
При неправильном прикусе или развитии других аномалий важно обратиться к ортодонту. На начальных этапах можно использовать съемные или фиксированные брекеты, что предотвратит более серьезные проблемы в будущем.
Существуют и другие меры профилактики: обучение детей правильным методам чистки зубов, использование зубной нити, а также регулярное ополаскивание рта после еды. Эти простые привычки помогут сохранить здоровье зубов.
Важно помнить о значении во время игровой активности. Не пренебрегайте защитными щитками при катании на велосипеде или скейтборде. Это не только защитит зубы, но и предотвратит травмы челюсти.
Обсуждайте здоровье зубов с детьми. Прививайте им значение заботы о зубах и поощряйте за достижения, например, за регулярное соблюдение гигиенических процедур.
Влияние питания на здоровье зубов ребенка
Обеспечение полноценного питания является ключевым аспектом в поддержании здоровья зубов детей. В рационе должны присутствовать витамины и минералы, особенно кальций и фосфор, которые необходимы для формирования крепкой эмали. Молочные продукты, рыба и листовые овощи – отличные источники этих элементов.
Ограничьте потребление сладостей и кислых продуктов, так как они способствуют разрушению зубной эмали. При этом стоит выбирать фрукты, богатые клетчаткой, которые помогают очистить зубы в процессе жевания. Например, морковь и яблоки не только вкусные, но и полезные для зубов.
Обратите внимание на достаточное количество жидкости. Вода помогает смывать остатки пищи и регулирует уровень кислотности во рту. Рекомендуется пить простую воду, избегая сладких газированных напитков, которые могут вызывать кариес.
Запланируйте регулярные приемы пищи, чтобы исключить перекусы между ними. Это позволяет уменьшить количество времени, когда зубы подвергаются воздействию кислоты от пищи. Лучше всего организовать три основных приема пищи и два перекуса, состоящих из здоровых опций.
Витамин D способствует усвоению кальция, поэтому обеспечьте ребенку достаточное время на солнце и добавьте в рацион продукты, богатые этим витамином, такие как яйца и рыба. Важно создать привычку заботиться о зубах с ранних лет, чтобы сформировать стойкие навыки ухода за полостью рта.
Постоянный контроль за питанием ребенка, забота о разнообразии блюд и правильность их выбора способны заметно улучшить состояние зубов и предотвратить возможные проблемы в будущем.
Уход за полостью рта у детей: ключевые рекомендации
Регулярная очистка зубов ребенка должна осуществляться минимум дважды в день. Используйте зубную пасту для детей с низким содержанием фтора и щетку с мягкими щетинами, чтобы избежать повреждения десен.
Контролируйте время чистки зубов. Для детей младшего возраста достаточно 2-3 минут, а для детей старшего возраста – не менее 3-5 минут. Можно использовать таймер или музыкальное сопровождение, чтобы сделать процесс более интересным.
Следите за правильной техникой чистки. Применяйте метод круговых движений, уделяя внимание всем поверхностям зубов. Напоминайте ребенку о важности тщательной обработки задних зубов, где чаще всего скапливается налет.
Обратите внимание на необходимость посещения стоматолога не реже одного раза в полгода. Это поможет вовремя выявить возможные заболевания и предотвратить их развитие.
Обсуждайте с ребенком важность ухода за зубами, создавайте положительный имидж стоматолога. Так он будет меньше бояться посещений врача и более ответственно относиться к своей гигиене.
Не забывайте про использование флоссов для очистки межзубных пространств. Научите ребенка этому инструменту с раннего возраста для закрепления привычки.
Чистка языка Важна. Используйте специальные скребки, чтобы удалять налет с языка, что поможет предотвратить неприятный дыхание и улучшить общее состояние ротовой полости.
Обеспечьте регулярное обновление зубной щетки – минимум раз в три месяца или после перенесенных заболеваний. Это поможет предотвратить размножение бактерий.
Роль стоматолога в формировании зубной реабилитации
Стоматолог играет ключевую роль в разработке стратегии восстановления зубного ряда. При первой встрече специалист оценивает состояние зубов и десен, определяет наличие заболеваний, которые могут влиять на процесс реабилитации.
Первым шагом является подробная диагностика, включающая:
- Рентгенологическое исследование для выявления скрытых проблем;
- Определение уровня минерализации зубной эмали;
- Оценка состояния зубных тканей и наличия кариеса.
На основе полученных данных стоматолог формирует индивидуальный план лечения. Это включает выбор методов восстановления зубов, который может варьироваться от установки пломб до протезирования. На этом этапе важно учитывать возраст пациента, состояние здоровья и особенности анатомии.
Помимо непосредственной работы с зубами, стоматолог обучает пациентов методам профилактики, подчеркивая значимость регулярных осмотров. Поддержание здоровья зубов важно не только в период реабилитации, но и после завершения лечения.
Современные методы, такие как лазерная терапия и 3D-печать, позволяют улучшить результаты реабилитации, сокращая срок восстановления и уменьшая дискомфорт. Стоматолог эффективен в комбинации технологий и индивидуального подхода, что способствует созданию качественного результата и улучшению качества жизни пациентов.
Следует помнить о необходимости регулярных контрольных визитов для посещения стоматолога после завершения реабилитации. Это позволяет оперативно выявлять возможные проблемы и предотвращать их усугубление.
Современные методы коррекции адентии
Для восстановления утраченных зубов применяются различные подходы, начиная от съемных протезов до имплантации. Выбор метода зависит от степени адентии и состояния полости рта пациента.
- Имплантация зубов: Это наиболее современные решения. Вживление титановый имплант позволяет избежать перераспределения нагрузки на соседние зубы. Если сроки потери зуба минимальны, вероятность успешного результата значительно возрастает.
- Съемные протезы: Хорошо подходят для пациентов с полной адентией. Протезы могут быть как временными, так и постоянными, изготавливаются по индивидуальным слепкам, что обеспечивает комфорт и удобство при ношении.
- Коронки: Применяются для восстановления зубов, которые уже существуют, но утратили целостность. Изготавливаются из металла или керамики и помогают вернуть функциональность зуба.
- Лечение ортодонтическими аппаратами: Включает использование брекетов и других аппаратов для исправления прикуса. Это часто предотвращает дальнейшие проблемы с зубами.
- Терапевтические методы: Используются при ранних признаках потери зубов, когда ещё возможно сохранить ткань. Лечение кариеса и других заболеваний полости рта может предотвратить необходимость коррекции адентии.
Наиболее эффективный метод выбирается стоматологом индивидуально для каждого пациента с учетом его ситуации и состояния здоровья. Постоянный мониторинг и профилактические осмотры помогут удерживать здоровье зубов на должном уровне.
Психологические аспекты отсутствия зубов у детей
Отсутствие зубов у детей нередко вызывает у них чувство комплекса и неудовлетворенности. Родители должны внимательно следить за эмоциональным состоянием ребенка, особенно в период прорезывания постоянных зубов. Важно знать, что поддержка со стороны взрослых может значительно облегчить этот процесс.
Обратите внимание на следующие рекомендации для минимизации негативных психологических проявлений:
- Создайте позитивную атмосферу. Поддерживайте расположение ребенка, напоминая ему, что потеря молочных зубов – естественная часть взросления.
- Поощряйте открытое обсуждение. Позволяйте ребенку обсуждать свои переживания и страхи. Это поможет ему справиться с эмоциями и избежать чувства изоляции.
- Поддерживайте самоуважение. Похвалите ребенка за уход за полостью рта и призывайте его не стесняться улыбаться, несмотря на отсутствие зубов.
Школьный возраст особенно чувствителен к общению. Дети могут столкнуться с насмешками со стороны сверстников. Родителям важно заранее подготовить детей к таким возможным ситуациям, объяснив, что отсутствие молочных зубов – это временное состояние, связанное с естественными процессами.
Психологические аспекты усугубляются, если отсутствие зубов усложняет процесс общения. Убедитесь, что у ребенка есть поддержка со стороны друзей и семьи. Занятия в группе, где присутствуют дети с аналогичными проблемами, могут создать чувство единства и уменьшить страхи.
Профилактика серьезных психологических последствий включает в себя регулярные визиты к стоматологу, которые помогут укрепить уверенность ребенка в своих действиях и снижая страх перед лечением. Обсуждение с врачом возможных решений для коррекции адентии также поможет ребенку чувствовать себя более уверенно.
| Эмоциональное состояние | Рекомендации |
|---|---|
| Чувство стыда | Обсуждение с родителями, активная поддержка при общении с другими детьми. |
| Страх перед насмешками | Напоминание о природной норме потери зубов, изучение средств самозащиты в общении. |
| Негативное восприятие себя | Поощрение здоровых привычек ухода за зубами, поддержка и хвалебные слова. |
Эмпатия, понимание и такт помогут снять напряжение, связанное с отсутствием зубов. Важно помнить, что каждый ребенок уникален, и подход к нему должен основываться на личных психологических потребностях.
Когда зубы начинают выпадать: особенности сменного прикуса
Смена зубов у детей начинается обычно в возрасте 6–7 лет и может продолжаться до 12–13 лет. Сначала выпадают молочные резцы, затем клыки и коренные зубы. Этот процесс является нормой и не требует тревоги, если он происходит в указанные сроки.
При выпадении зубов важно следить за тем, как развивается прикус. Неправильное положение постоянных зубов может вызвать проблемы в будущем. Важно сразу же обращаться к стоматологу, если:
- Зубы начинают выпадать позже или раньше установленного срока;
- Смена зубов сопровождается сильной болью;
- Наблюдается отсутствие зубов более чем на 2 месяца;
- Формируется неправильный прикус.
Методика наблюдения за сменой зубов включает регулярные визиты к стоматологу, который может оценить процесс и, при необходимости, предложить корректирующие меры. Проблемы с прикусом могут быть решены с помощью ортодонтических аппаратов.
Поддержание здоровья зубов в период смены важно. Обычное питание не должно менять, но следует обратить внимание на содержание кальция и витаминов, чтобы поддерживать крепость зубных структур.
Рекомендуется использовать специальные щетки и пасты для защищенных зубов, а также следить за гигиеной полости рта 2 раза в день.
Обсуждение психологических аспектов очень важно. Понимание процесса смены зубов помогает детям легче переносить этот этап, особенно если возникают изменения внешности. Открытые беседы и поддержка со стороны родителей позволят снизить уровень стресса.
| Возраст | Зубы, которые обычно выпадают | Зубы, которые появляются |
|---|---|---|
| 6-7 лет | Молочные резцы | Постоянные резцы |
| 7-8 лет | Молочные клыки | Постоянные премоляры |
| 9-12 лет | Молочные коренные зубы | Постоянные моляры |
Период смены прикуса – это важный этап в развитии ребенка, который требует регулярного контроля и заинтересованности со стороны родителей. Участие стоматолога на этом этапе обеспечивает правильное формирование постоянных зубов и здоровье полости рта в будущем.






