После инсульта головокружение может возникать из-за повреждения участков мозга, отвечающих за координацию и равновесие. Инсульт может нарушить кровообращение в определенных областях, что оказывает влияние на вестибулярную систему и приводит к ощущению головокружения.
Кроме того, после инсульта часто наблюдаются изменения в мышечном тонусе и различного рода неврологические нарушения, которые также могут способствовать появлению головокружения. Важно своевременно обратиться к врачу для оценки состояния и назначения необходимого лечения.
Терапия головокружения после инсульта неврологом в Санкт-Петербурге
Восстановление способности сохранять равновесие с помощью неврологических методов терапии
Головокружение, возникающее после инсульта, является одной из распространенных бед, обусловленных нарушениями кровообращения в мозговых структурах. Пациенты, перенесшие инсульт, часто сталкиваются с постоянным или временным головокружением, которое сопровождается слабостью, нарушением координации движений и проблемами с ориентацией в пространстве. Наша клиника в Санкт-Петербурге предлагает персонализированные подходы к лечению и реабилитации, направленные на улучшение состояния и качества жизни лиц, перенесших инсульт.
Головокружение, возникающее после инсульта, связано с повреждением мозговых областей, отвечающих за координацию и поддержание равновесия. Симптоматика может проявляться в следующих формах:
- Постоянным чувством «кружения» в голове.
- Неустойчивостью во время ходьбы.
- Трудностями в ориентации в пространстве.
- Тошнотой и потерей равновесия при резком движении.
Часто головокружение возникаете на фоне других проявлений инсульта, таких как слабость в конечностях, нарушения речи и изменения в зрении.
Кому показано лечение головокружения после инсульта?
- Лицам, перенесшим инсульт и испытывающим головокружение.
- Тем, у кого имеются проблемы с координацией и равновесием после инсульта.
- Пациентам, у которых головокружение сопровождается слабостью в конечностях или нарушением речи.
- Тем, кто нуждается в реабилитации после инсульта.
Подготовьте результаты медицинских обследований (МРТ, КТ, анализы). Запишите частоту, длительность и характер ваших головокружений, а также сопутствующие симптомы (боль, слабость, тошнота). Не забудьте составить список принимаемых лекарств.
Почему возникает головокружение после инсульта
Вестибулярные нарушения при полушарных инсультах

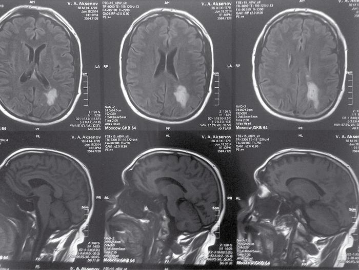
В данной статье представлен краткий обзор случаев полушарных инсультов, при которых вестибулярные нарушения были основным или единственным симптомом. Рассматривается история 56-летнего пациента, который обратился за помощью после трех эпизодов спонтанного вестибулярного головокружения. При более детальном обследовании был выявлен ишемический инсульт в левом полушарии мозга, затрагивающий теменно-затылочную область. Обсуждаются потенциальные механизмы появления вестибулярного головокружения в результате поражений полушария головного мозга.
Пациент А., 56 лет, пришел на прием к неврологу после трех приступов головокружения. Первый эпизод произошел за два месяца до consulta. Головокружение началось внезапно, продолжалось около часа и сопровождалось тошнотой и неустойчивостью. Оно не имело позиционного характера и сохранялось даже в покое, но усиливалось при движении. После приступа оставалась легкая неустойчивость еще на несколько часов.
Спустя три недели пациент снова испытывал головокружение, похожее на первое. Оно началось в течение дня без очевидных причин. Третий приступ оказался более продолжительным и тяжелым, продолжался до четырех часов и сопровождался выраженной тошнотой.
При неврологическом обследовании в момент обращения не было выявлено явных очаговых симптомов. Нейровестибулярное исследование показало отсутствие спонтанного и позиционного нистагма. МРТ выявила изменения, соответствующие недавно перенесенному ишемическому инсульту в области теменно-затылочных районов левого полушария.

Таким образом, причиной инсульта может являться атеротромбоз задней ветви левой средней мозговой артерии, который сначала проявился как два эпизода транзиторных ишемических атак, а затем развился в инфаркт головного мозга.
Вестибулярные нарушения при полушарных инсультах
В литературе есть немногочисленные упоминания о вестибулярной симптоматике при инсультах полушарной локализации. В обзорной статье, написанной M. von Breverv и его соавторами, представлены 10 случаев инсульта, сопровождающегося вестибулярными нарушениями.
Авторы упоминают 10 случаев, где приступы вестибулярного головокружения были однозначно связаны с полушарным инсультом, из которых 9 случаев относились к инфаркту мозга, а один к кровоизлиянию в мозг.
Причины инсульта включали: кардиоартериальную тромбоэмболию в одном случае, диссекцию внутренней сонной артерии – в одном случае, стеноз внутренней сонной артерии – в двух случаях. В остальных шести случаях инсульт был признан криптогенным. Головокружение у всех пациентов стало основным проявлением заболевания.
При неврологическом обследовании у больных наблюдались также и другие расстройства: легкие нарушения чувствительности, минимальный гемипарез, дизартрия, дисфазия, диспраксия, синдром Горнера и незначительная гемианопсия. В нейровестибулярных исследованиях преобладал спонтанный нистагм и отклонение субъективной вертикали к противоположной или, реже, к той же стороне. Калорический тест был проведен трем пациентам и всегда давал отрицательный результат.
У 6 пациентов поражение было локализовано в правом полушарии, а у 4 – в левом. Наиболее часто зона поражения охватывала заднюю часть островковой доли или локализовывалась ретроинсулярно. В других случаях затрагивалась надкраевая извилина, скорлупа и область средней височной извилины.
Обсуждение
Вестибулярные ядра ствола мозга имеют богатые связи с корковыми областями. На сегодняшний день известны четыре пути, по которым информация от периферического вестибулярного анализатора поступает в кору: вестибуло-таламо-кортикальный путь; соединения ядер дорсальных отделов покрышки варолиева моста с латеральными мамиллярными телами, переднедорсальными ядрами таламуса и энторинальной корой; через ретикулярные ядра оральных отделов варолиева моста, супрамамиллярные ядра заднего отдела гипоталамуса, медиальные отделы септальной области к гиппокампу; через мозжечок и вентролатеральные ядра таламуса к коре теменной области.
Корковое представительство вестибулярной системы не имеет единого центра. Кора в области теменно-височного стыка считается важнейшей частью кортикального представительства вестибулярного анализатора, где происходит интеграция вестибулярных и проприоцептивных сигналов для поддержания равновесия.
Учитывая функции указанных отделов корковой области, их повреждение может вызывать головокружение. Кроме того, другие зоны могут участвовать в обеспечении более сложных когнитивных функций.
Особое внимание привлекает частое поражение островковой доли у пациентов с полушарным инсультом, проявляющимся головокружением, что объясняется многофункциональной интеграцией множества афферентных сигналов от различных органов и систем.
Дифференциальная диагностика головокружений, вызванных полушарным инсультом, и периферическими вестибулярными расстройствами основывается на тщательном анализе анамнеза, факторов риска цереброваскулярных заболеваний, исследовании неврологического статуса и проведении детального нейровестибулярного обследования.
Нейровестибулярное исследование играет ключевую роль в дифференциальной диагностике между центральным и периферическим вестибулярными расстройствами. Наличие спонтанного нистагма у пациента с острым вестибулярным головокружением почти всегда указывает на инсульт.
Необъяснимое головокружение требует выполнения МРТ даже при отсутствии других очаговых неврологических симптомов. Изменения, выявленные на МРТ, могут указывать на ишемический инсульт.
Таким образом, полушарные инсульты в некоторых случаях могут сопровождаться вестибулярным головокружением, вызванным односторонним поражением вестибуло-кортикальных связей или вестибулярных центров коры мозга.
Методы диагностики
Исследования, такие как КТ и МРТ, позволяют оценить состояние мозга и исключить серьезные очаговые патологии в зонах, ответственных за вестибулярную функцию.
Ультразвуковое сканирование сосудов головы и шеи помогает устранить влияние сосудистых заболеваний.
Исследования слуховых и вестибулярных вызванных потенциалов дают возможность оценивать работу проводящей системы этих анализаторов.
Аудиометрическое исследование может выявить проблемы слухового анализатора, которые могут возникнуть вместе с нарушениями равновесия.
Может ли головокружение быть единственным симптомом инсульта?
ЭКГ и эхокардиография помогают оценить вероятность кардиальных причин головокружения.
Электроэнцефалография может показать наличие эпилептической активности.
Лабораторные методы диагностики позволяют идентифицировать вероятность метаболических нарушений в организме.
Тем не менее, основное значение в оценке головокружения имеет клинический осмотр и оценка неврологического статуса, включая анализ нистагма. Проведение специальных диагностических маневров и тестов для анализа работы полукружных каналов (структур, ответственных за равновесие) также имеет важное значение в процессе диагностики.
Методы лечения
Фармакотерапия. Одной из распространённых проблем является чрезмерное преобладание медикаментозного лечения среди методов, применяемых для терапии основных типах головокружений. Хотя фармакологическая терапия имеет значительное значение, она не является единственным средством и часто оказывается недостаточной для устранения головокружения, независимо от его природы.
Тем не менее, нельзя игнорировать эффективность лекарственной терапии. Врачам доступны препараты, которые снижают ощущение головокружения, воздействуя на внутреннее ухо. Особенно полезными становятся противорвотные средства, если к головокружению присоединяются тошнота и рвота. Важно использовать анксиолитики из различных фармакологических категорий для облегчения состояния пациентов в острый период. Следует помнить, что чрезмерное употребление таких препаратов может затормозить процесс выздоровления.
Лечебные маневры. В терапии наиболее частого типа головокружения — доброкачественного пароксизмального позиционного головокружения — значение имеют специальные маневры, которые заключаются в поворотах головы пациента в плоскости затронутых полукружных каналов (элементов системы равновесия). Эти маневры служат для удаления отолитов, которые являются непосредственной причиной головокружения. Они способны создать впечатляющий эффект, мгновенно устраняя головокружение сразу после их выполнения.
Крайне важно акцентировать внимание на специализированной вестибулярной гимнастике. Эта методика часто недооценивается, хотя современные рекомендации по лечению вертиго почти для всех типов головокружения предполагают применение гимнастики.
Bыбор диагностических и терапевтических методов в отношении головокружений представляет собой сложную задачу для невролога, требующую взвешенного подхода. Крайне важно правильно определить необходимый объем мероприятий, которые не затянут пациента в бесконечный цикл ненужных исследований и неэффективных назначений, но при этом смогут дать максимальный положительный результат по улучшению качества жизни.

Диагностика и дифференциация диагнозов
В неврологической практике встречаются случаи, когда у пациентов наблюдаются симптомы, требующие дифференциальной диагностики и индивидуализированного лечения. В рамках симпозиума были представлены доклады ведущих экспертов России, посвященные практическим аспектам ведения неврологических пациентов в клинической практике.
Доктор медицинских наук, профессор, директор центра диагностики и лечения головной боли кафедры неврологии с клиникой Первого Санкт-Петербургского государственного медицинского университета им. академика И. П. Павлова, заведующий лабораторией нейрофизиологии и фармакологии боли Института фармакологии им. А. В. Вальдмана Александр Витальевич АМЕЛИН поделился опытом диагностики и лечения пациентов с головокружениями.
- КЛЮЧЕВЫЕ СЛОВА: головокружение, инсульт, нарушения кровообращения, вестибулопатия
В клинической практике встречаются пациенты с субъективным ощущением головокружения неопределенной природы. В таких ситуациях основная задача неврологов заключается в правильной оценке причины и характера головокружения.
Часто пациентам с жалобами на головокружение ошибочно ставят диагноз субарахноидального кровоизлияния или острого нарушения мозгового кровообращения. На самом деле, изолированное вестибулярное головокружение может свидетельствовать о ишемических изменениях в стволе мозга.
В головном мозге отсутствует свободное пространство, повреждение которого могло бы остаться незафиксированным центральной нервной системой. Однако вероятность выявления изолированного головокружения у пациентов с подозрением на инсульт зависит от различных факторов, включая уровень профессионализма медицинского персонала и особенности диагностических методов. Причины головокружения могут быть разнообразными, включая любые вестибулярные расстройства. В зарубежных исследованиях среди 1666 пациентов, госпитализированных по экстренным показаниям, только 3% случаев подтвердили наличие инсульта или транзиторной ишемической атаки (ТИА). В 97% случаях причиной головокружения всегда была периферическая вестибулопатия.
В отечественном исследовании с участием 213 пациентов, госпитализированных из-за острого вестибулярного головокружения, инсульт был подтверждён у 21,6%. В 78,4% случаях причиной головокружения стала периферическая вестибулопатия.
По мнению экспертов Европейской организации по изучению инсульта, изолированное системное головокружение без очаговых неврологических симптомов чаще всего указывает на поражение периферической вестибулярной системы. Основания для заключения о недостаточности вертебрально-базилярного кровообращения не могут опираться лишь на остеохондроз шейного отдела позвоночника или изгиб позвоночных артерий, обнаруженный при УЗИ сосудов шеи.
Профессор А. В. Амелин обозначил клинические особенности нарушений кровообращения в вертебрально-базилярной системе. Он отметил, что разнообразные клинические проявления при недостаточности вертебрально-базилярного кровотока обязательны. К основным симптомам, вызывающим нарушения кровообращения в данной области, относят:
- зрительные и глазодвигательные расстройства;
- нарушения координации, равновесия;
- расстройства чувствительности в области лица;
- проблемы с речью;
- транзиторная глобальная амнезия, элементы афазии.
Признаками истинной недостаточности мозгового кровообращения считаются наличие по меньшей мере двух из перечисленных симптомов и пароксизмальная природа проявлений в форме ТИА. Обычно нарушения формируются в бассейне задней нижней, передней нижней и верхней мозжечковой артерий.
При инсульте в бассейне задней нижней мозжечковой артерии (синдром Валленберга – Захарченко) головокружение является частым симптомом. Данная патология проявляется такими характеристиками, как онемение половины лица, бульбарный синдром, синдром Горнера, ipsilateral динамическая атаксия, контралатеральная гемигипестезия. Нарушения в передней нижней и верхней мозжечковых артериях также зачастую ведут к головокружению и сопутствующим симптомам.
В ходе многочисленных исследований стало ясно, что изолированное головокружение при инсульте встречается редко. Например, в российском исследовании среди 46 пациентов с экстренной госпитализацией по головокружению только у двух из них наблюдалось изолированное головокружение. У остальных 44 больных имели сопутствующие симптомы.
Достаточно небольшие инфаркты, затрагивающие узловые зоны мозжечка или островковую область мозга, могут вызывать головокружение без других сопутствующих проявлений.
Докладчик указал, что клиническое обследование пациентов с острым головокружением позволяет практически на 100% точно отличить инсульт от периферической вестибулопатии. При этом клиническое обследование имеет большую информативность, чем инструментальная диагностика, включая магнитно-резонансную томографию. Трехступенчатая оценка глазодвигательных реакций является намного более чувствительным методом диагностики инсульта по сравнению с инструментальными методами.
Дифференциальная диагностика инсульта и периферической вестибулопатии основывается на результатах теста поворота головы (тест Хальмаги), анализе параметров нистагма и выявлении скрытого вертикального косоглазия, известного как торсионный вертикальный синдром, вызванного нарушением вестибулоокулярного рефлекса в стволовых структурах. Обычно данный синдром подтверждается при латеральном стволовом синдроме Валленберга – Захарченко.
Об инсульте свидетельствуют следующие признаки: отрицательная проба Хальмаги, наличие вертикального либо горизонтального нистагма, который изменяет своё направление при изменении взгляда, различия в положении глазных яблок по вертикали (гипофория, гиперфория) в ходе теста с чередующимся закрытием разных глаз.
Главные причины головокружения и актуальные методы лечения
Российские исследователи подтвердили выводы зарубежных коллег о том, что основными причинами острого и длительного головокружения в амбулаторной практике оказываются доброкачественные пароксизмальные позиционные головокружения, болезнь Меньера, вестибулярный нейронит, мигрень и другие. Инсульт как причина головокружения зафиксирован всего в 0,8% случаев.
Терапия острых вестибулярных расстройств при инсульте включает три основные направления: лечение основного заболевания (гипотензивные препараты, статины, антиагреганты и проч.), профилактику падений (использование трости, поручней и т.д.), а также гимнастику для тренировки постуральной устойчивости и походки.
В настоящее время для лечения головокружения различного происхождения препаратом первого выбора выступают комбинированные медикаменты центрально-периферического действия, известные как вестибулярные супрессанты. На российском фармацевтическом рынке представлен современный вестибулярный супрессант с доказанной эффективностью под названием Арлеверт®. Данный препарат является комбинацией хорошо известных и эффективных средств, применяемых для лечения головокружения — блокатора медленных кальциевых каналов циннаризина и антигистаминного средства с антихолинергической активностью дименгидрината. Арлеверт® показан для симптоматического лечения головокружения различной природы у взрослых.
По словам докладчика, комбинированный препарат Арлеверт® является одним из самых востребованных в Германии лекарств для лечения пациентов с головокружением.
Арлеверт® показал свою высокую эффективность у пациентов, страдающих от вестибулярного головокружения, независимо от его природы — периферической, центральной или смешанного типа, в отличие от терапии, проводимой одиночным дименгидринатом, циннаризином или бетагистином.
Подводя итоги, профессор А. В. Амелин отметил, что использование препарата Арлеверт® приводит к значительному снижению выраженности головокружений и положительно сказывается на качестве жизни пациентов.
Эксперт также напомнил участникам симпозиума о важности внимательно подходить к диагностике пациентов с головокружением, опираясь на результаты клинического обследования.
- Основные термины: головокружение, инсульт, сосудистые нарушения, вестибулопатия







