Ретинированный зуб — это зуб, который не прорезался через десну и остался «заперт» в челюсти. Удаление такого зуба обычно осуществляется стоматологом с использованием хирургического вмешательства, которое включает в себя разрез десны и, при необходимости, удаление части костной ткани. Этот процесс, как правило, проводится под местной анестезией, что позволяет избежать дискомфорта для пациента.
В некоторых случаях, если зуб обеспечивает риск для здоровья или вызывает боль, врач может рекомендовать его удаление. Однако в зависимости от конкретной ситуации, возможны и другие методы, такие как использование ортодонтических средств для перемещения зуба в правильное положение. Важно заранее обсудить все варианты лечения с вашим стоматологом, чтобы выбрать наиболее подходящий способ решения проблемы.
Процесс зубоальвеолярного вытягивания
Зубоальвеолярное вытягивание — это медицинская процедура в стоматологии, предназначенная для зубов, которые не могут пробиться в полость рта самостоятельно или находятся в неправильной позиции. Чаще всего такая операция требуется для ретинированных зубов, которые находятся под десной или в костной ткани, например, зубов мудрости и клыков.
Преимущества нашей клиники
Мы обладаем более 20-летним опытом работы в сфере стоматологии, предлагая бессрочную гарантию на все услуги. Наши цены в Москве являются одними из самых доступных, и мы предлагаем рассрочку на оплату. Каждый этап лечения контролируется квалифицированными врачами. Мы используем только передовое оборудование и материалы от известных производителей.
Мы всегда информируем пациентов о том, что наличие ретинированных зубов может представлять серьезную опасность и вызывать ряд неблагоприятных последствий. Наиболее частыми осложнениями являются смещение и деформация соседних зубов, воспаление мягких тканей и ухудшение внешнего вида зубного ряда. Если не удалить ретинированный зуб вовремя, это может привести к возникновению различных недугов, таких как кариес, пульпит, периостит, абсцесс и проблемы с прикусом.
Процедура вытягивания зуба

Ретинированные зубы могут вызывать серьезные проблемы, как физического, так и психологического характера. Задержка с посещением стоматолога может привести к ухудшению состояния, особенно если частичное прорезывание зуба вызывает болезненные ощущения или дискомфорт. Ретинированный зуб может стать причиной воспалений и болей в области нижней челюсти.
Врач подбирает метод лечения в зависимости от тяжести проблемы. Если зуб не влияет на внешний вид зубного ряда, его могут оставить под наблюдением. Однако в случае, если зуб значительно влияет на здоровье или качество жизни пациента, требуется его удаление.
Перед процедурой удаления зуба стоматолог проведет полное обследование, включая рентген, чтобы оценить положение зуба и возможные риски. Анестезия чаще всего используется для того, чтобы сделать процедуру максимально комфортной для пациента.
После удаления зуба важна грамотная послеоперационная care. Пациенту могут быть даны рекомендации по выполнению гигиенических процедур, приему обезболивающих и избеганию определенных продуктов в течение первых дней.
Необходимо помнить, что посещение стоматолога не должно ограничиваться только экстренной помощью. Регулярные профилактические осмотры помогут предотвратить появление новых проблем с зубами и поддерживать здоровье полости рта.
Определение «спящих» зубов
Ретинированные зубы выявляются при проведении рентгенографического обследования. Специальные диагностические процедуры назначаются, когда присутствуют симптомы, указывающие на проблему с ретинированными зубами. Иногда ретенция происходит из-за незавершенного формирования корня, что мешает зубу прорезаться. Для его «освобождения» требуется трехступенчатое лечение.
- Первый этап — ортодонтическая подготовка, целью которой является создание необходимого пространства в зубном ряду.
- Второй этап — хирургический, который включает в себя удаление мягких тканей и открытие коронки ретинированного зуба.
- Заключительный этап — опять ортодонтический, заключается в вытягивании зуба и его установке на должное место.
Важно отметить, что ретенция зубов может произойти не только у зубов мудрости, но и у других зубов, таких как резцы или клыки. Поэтому регулярные стоматологические осмотры и рентгенографические исследования являются ключевыми для своевременного выявления проблем.
При наличии симптомов, таких как боль в области десен, отек или периодические инфекции, следует незамедлительно обратиться к стоматологу. В некоторых случаях ретинированные зубы могут вызывать смещение соседних зубов, что может привести к дальнейшим ортодонтическим проблемам.
Кроме того, после проведенного лечения таким пациентам может быть рекомендован регулярный контроль за состоянием зубов, так как иногда может потребоваться повторное ортодонтическое вмешательство для поддержания правильного прикуса.
Результаты. Пятый месяц лечения

Лечение продолжается по запланированному графику, мы добились смещения верхнего ряда зубов вправо.
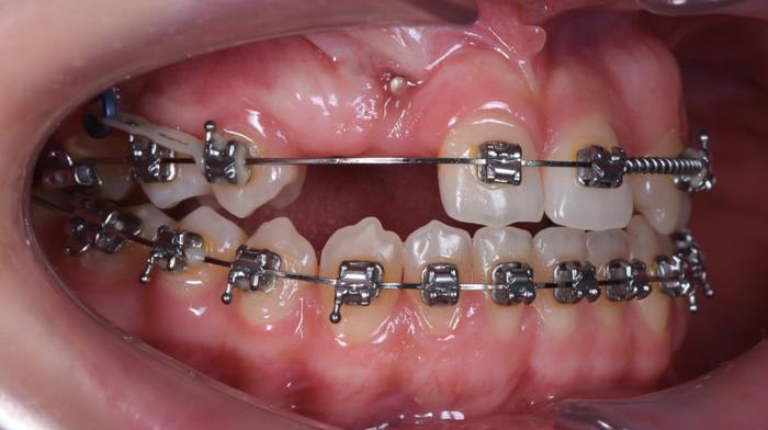
Результаты. Одиннадцатый месяц лечения

Ретинированный клык прорезался к концу шестого месяца, а окончательно был выведен на поверхность к одиннадцатому месяцу. В течение этого периода был проведен ряд дополнительных процедур, направленных на подготовку слизистых оболочек и костной ткани для успешного прорезывания зуба.
После его появления на поверхности были назначены регулярные контрольные осмотры, чтобы удостовериться в корректном положении зуба и отсутствии осложнений. Важно отметить, что ретинированные зубы могут создавать дискомфорт, поэтому были использованы методы для минимизации болевых ощущений, такие как применение местной анестезии и противовоспалительных препаратов.
Кроме того, пациенту были даны рекомендации по уходу за полостью рта, чтобы избежать инфекций и других негативных последствий. В целом, процесс был успешным, и пациент почувствовал значительное облегчение после завершения лечения.
Риски, связанные с ретенированными зубами
Исследования показывают, что примерно 63,7% ретинированных зубов сопровождаются осложнениями, среди которых:
- Утрата пародонтальной кости (44,4%)
- Редукция корней (33,3%)
- Образование кист или опухолей (8,6%)
- Кариес (2,3%).
Помимо перечисленных осложнений, ретенированные зубы могут Вызывать:
- Боль и дискомфорт в области зуба, что может затруднять жевание и говорить.
- Клинико-ортодонтические проблемы, влияющие на прикус и эстетику улыбки.
- Инфекции, которые могут распространяться на близлежащие ткани, если зуб не подлежит удалению.
- Проблемы с соседними зубами, поскольку ретинированный зуб может искривлять их положение, приводя к их повреждению или потере.
Регулярные стоматологические осмотры и рентгенографические исследования помогут выявить ретенированные зубы и их возможные осложнения на ранних стадиях. При необходимости может потребоваться удаление ретенированного зуба или другие вмешательства для предотвращения дальнейших проблем.
Что предпринять при наличии ретинированных зубов?
Для постановки диагноза и определения тактики лечения ретинированного зуба необходима внимательная диагностика. Важно установить:
- Какой конкретно зуб является ретинированным
- Как он расположен в челюсти
- Хватает ли места в зубном ряду для ретинированного зуба
- Вызывает ли он осложнения
- Насколько сложно будет его удалить.
Наблюдение
Когда положение зуба не нарушает эстетику улыбки и нет проблем со здоровьем, достаточно регулярного наблюдения за состоянием.
Ортодонтическое лечение
Если нужно осуществить ортодонтическое вытягивание, это включает в себя хирургическую процедуру, чтобы обеспечить доступ к ретинированному зубу под местной анестезией и удалить слизистую. После вытягивания зуб необходимо корректно разместить в зубном ряду.
Ортодонтическое лечение с вытяжкой ретинированного зуба – это длительный и сложный процесс, требующий не менее двух лет на выздоровление
Если ортодонтическое лечение недопустимо, но ретинированный зуб вызывает проблемы, его следует удалить. Например, «восьмерка» (зуб мудрости) может вызывать значительные дискомфорты, разрушая корни соседних зубов, воспаляя десны и так далее.

Удаление
Ортодонтическое удаление
Если ретинированный зуб требует удаления и он находится в глубоком положении, что делает операцию травматичной, возможно использование ортодонтического вытягивания с последующей безопасной экстракцией зуба.
Если у вас возникают подозрения на наличие ретинированного зуба, не медлите с посещением стоматолога. Специалисты клиники «Конфиденция» проведут качественное обследование и сформируют план лечения, учитывая особенности вашей ситуации. Решение проблем с ретинированными зубами — это наш ежедневный вызов, и мы точно знаем, как его успешно преодолеть.

Послеоперационный уход за полостью рта
Сразу после хирургического вмешательства рекомендуется избегать жесткой и горячей пищи. Употребляйте мягкие и холодные продукты, такие как йогурты, пюре и супы. Это минимизирует риск повреждения тканей и снижает дискомфорт.
Избегайте полоскания рта в первые 24 часа. Это поможет предотвратить сдвиг тромба, сформировавшегося в месте операции. Вместо этого используйте влажное comprimido для облегчения боли, если это необходимо. После суток можно начать осторожно полоскать рот теплым раствором соли, но избегайте интенсивных движений.
Чистка зубов должна быть аккуратной. Используйте мягкую щетку и избегайте зоны операции в течение нескольких первых дней. Убедитесь, что зубная паста не содержит активных ингредиентов, раздражающих слизистую оболочку.
При появлении отека или крови немедленно обратитесь к врачу. Это может быть нормальным признаком заживления, но в некоторых случаях требуется профессиональное вмешательство. При этом следите за общим самочувствием и температурой тела.
Увлажнение слизистой оболочки рта важно, особенно в первые дни. Пейте достаточное количество жидкости и, по возможности, используйте специальные спреи для увлажнения.
Избегайте алкоголя и табака на протяжении всего восстановительного периода. Эти вещества могут замедлить процесс заживления и ухудшить состояние после операции.
Регулярные визиты к стоматологу для контроля за процессом заживления также являются важной частью послеоперационного ухода. Специалист может дать рекомендации по дальнейшему уходу и определить, когда можно вернуться к привычному режиму жизни.






