Киста в голове может возникать по нескольким причинам, включая последствия воспалительных процессов, травмы, а также генетические факторы. Например, иногда кисты формируются из-за накопления жидкости в тканях мозга, что может быть следствием инфекций или других заболеваний.
Кроме того, новообразования могут быть связаны с нарушениями в развитии нервной системы или с пороками, возникающими в процессе эмбрионального развития. Важно отметить, что кисты часто являются доброкачественными и не всегда требуют хирургического вмешательства, но для точной диагностики и лечения следует обращаться к специалисту.
Киста головного мозга
Киста в головном мозге представляет собой полостную структуру, заполненную жидкостью, которая может образовываться в различных участках мозга. В отличие от опухоли, она не является злокачественным образованием, однако может оказывать давление на соседние ткани и приводить к значительным неврологическим нарушениям. Кисты могут быть как врожденными, так и приобретенными, и развиваются у людей всех возрастов и полов.
Чаще всего такие образования обнаруживаются случайно во время нейровизуализации, но в некоторых случаях они могут вызывать выраженные симптомы. Характер симптомов зависит от места расположения, размеров и типа кисты. В ряде случаев это не требует немедленного вмешательства, однако регулярное медицинское наблюдение и точная диагностика необходимы.
Причины образования кисты головного мозга
Кисты могут возникать как вследствие врожденных аномалий, так и на фоне различных заболеваний.
К основным причинам можно отнести:
- Врожденные аномалии: киста может развиваться еще в утробе матери, особенно под воздействием неблагоприятных факторов.
- Травмы головы: черепно-мозговые травмы, особенно с повреждением мягких тканей, могут способствовать образованию кист.
- Инфекции: такие заболевания, как менингит и энцефалит, могут спровоцировать появление жидкостных полостей в мозговой ткани.
- Инсульты: ишемические и геморрагические инсульты иногда приводят к образованию кист в местах некроза.
- Хирургические операции: послеоперационные осложнения могут Вызывать образование кист.
- Паразитарные инфекции (например, эхинококкоз или цистицеркоз): хотя это бывает редко, но существует возможность паразитарного происхождения образований.
Каждая из этих причин влияет на дальнейшее развитие заболевания, поэтому своевременное выявление источника патологии имеет огромное значение для выбора метода лечения.
Причины появления кист в головном мозге
Врожденные кисты в головном мозге часто являются результатом влияния негативных факторов на плод, такими как внутриутробная гипоксия, резус-конфликт или недостаток кислорода. Такие факторы, как инфекционные болезни, прием тератогенных препаратов, курение, употребление алкоголя и наркотиков, а также серьезные хронические болезни матери могут также способствовать развитию кист.
Факторы, способствующие образованию приобретенных кист:
- Травмы головы при родах;
- Заболевания, приводящие к нарушению мозгового кровообращения, такие как инсульты и кровоизлияния;
- Некоторые глистные инвазии, такие как эхинококкоз и тениоз;
- Черепно-мозговые травмы;
- Воспалительные процессы в головном мозге, включая менингит и энцефалит;
- Осложнения после операций на голове;
- Дегенеративные и дистрофические изменения в мозге, которые приводят к образованию кист.
Рост кисты могут спровоцировать нейроинфекции, воспаленные процессы внутри черепа, частые черепно-мозговые травмы или сосудистые расстройства, такие как инсульта или гидроцефалия.
Важно также отметить, что такие факторы, как возраст матери, ухудшающее здоровье в процессе беременности и наличие наследственных заболеваний, могут значительно повысить риск развития кист. У пожилых людей риск увеличивается из-за возрастных изменений в сосудах и тканях мозга, которые могут способствовать образованию кист.
Помимо этого, некоторые кисты могут не проявляться клинически и быть случайной находкой при проведении нейровизуализации, такой как МРТ или КТ по другим причинам. Однако даже такие бессимптомные кисты могут требовать наблюдения, особенно если они увеличиваются в размерах.
Проявления кист головного мозга
Врожденные кисты обычно не проявляются в течение всей жизни и не вызывают рак мозга. Заметные симптомы чаще возникают при приобретенных кистах больших размеров из-за повышенного внутричерепного давления.
- Регулярные или хронические головные боли, шум или пульсация в голове;
- Снижение остроты зрения, двоение, сужение полей зрения, зрительные галлюцинации и давление в глазах;
- Легкие формы тугоухости;
- Нарушение координации;
- Трудности со сном;
- Судороги конечностей и лицевых мышц, мелкие треморы;
- Приступы тошноты и рвоты, которые не связаны с приемом пищи;
- Слабость, утомляемость, обмороки;
- У детей наблюдается задержка в психомоторном развитии.
У некоторых больных заболевание может проявляться сначала в виде эпилептических припадков, которые со временем могут повторяться. В редких случаях наблюдаются моторные расстройства и другие неврологические симптомы в результате поражения мозжечка. Пациенты могут ощущать трудности с глотанием и нарушениями речи.
Клинические особенности различных видов кист головного мозга
Наиболее часто встречаются арахноидальные кисты, как врожденного, так и посттравматического происхождения. Они находятся на поверхности мозга или в его оболочках и зачастую не вызывают симптомов. Патологическое состояние может ухудшаться при увеличении количества жидкости, вызванном активным образованием ликвора. Если киста значительно увеличится, возможно ее разрыв, что может привести к летальному исходу.
Симптоматика различных кист головного мозга:
- Пинеальная киста (киста шишковидной железы) находится в эпифизе. Небольшие размеры таких образований выявляются у 10% населения, однако выраженные симптомы зачастую появляются только при диаметре кисты более 1 см, что случается крайне редко. При опухании кисты может происходить нарушение циркуляции ликвора и развитие гидроцефалии.
- Коллоидная киста локализуется внутри желудочков и заполнена вязкой жидкостью. Симптомами могут быть головные боли, которые усиливаются при изменении положения головы, а также тошнота, рвота, ухудшение зрения и координации. Может наблюдаться повышенная раздражительность и изменения в поведении, ухудшение памяти и слабость в конечностях.
- Киста сосудистого сплетения представляет собой скопление цереброспинальной жидкости между сосудами сплетения. Явные симптомы встречаются нечасто, возможны эпилептические припадки и признаки повышенного внутричерепного давления. Врожденная форма часто обнаруживается на УЗИ при 20-й неделе беременности, а киста рассасывается к 28-й неделе.
- Дермоидная киста является результатом порока внутриутробного развития, когда клетки кожи и ее придатков остаются в мозге. Внутри кисты присутствуют элементы волосяных фолликулов и сальных желез, и после рождения она быстро растет. Хирургическое вмешательство является единственным способом ее удаления.
Проведение магнитно-резонансной томографии (МРТ) является основным методом диагностики кист, так как позволяет точно определить их расположение, размеры и структуру. Важно своевременно обратиться к специалисту, если наблюдаются симптомы, указывающие на возможное наличие кисты головного мозга.
Так как головная боль является частым симптомом кист, важно при наличии повторяющихся головных болей проконсультироваться с неврологом. Не следует игнорировать другие симптомы, такие как изменения в зрении и координатах, так как они могут свидетельствовать о необходимости немедленного медицинского вмешательства.
Симптомы кисты мозга
Симптоматика зависит от основного заболевания, которое привело к образованию кисты, поэтому она может быть разнообразной и неспецифичной.
Могут проявляться один или несколько из следующих симптомов:
- Головная боль;
- Чувство давления в голове;
- Пульсация в голове;
- Шум в ушах при сохранении слуха;
- Нарушения слуха (нейросенсорная тугоухость);
- Зрительные расстройства (двоение, мерцание перед глазами и т. д.);
- Эпилепсия;
- Парез конечностей, который может быть как постоянным, так и временным;
- Потери сознания;
- Неустойчивость при движениях;
- Онемение различных участков тела, как постоянное, так и временное.
Если киста является последствием предыдущего заболевания, симптомы могут полностью отсутствовать.
Важно отметить, что некоторые из перечисленных симптомов могут указывать на наличие других заболеваний или расстройств, поэтому при их появлении рекомендуется обращаться к специалисту для проведения необходимой диагностики.
Диагностика кисты мозга обычно включает нейровизуализационные методы, такие как магнитно-резонансная томография (МРТ) или компьютерная томография (КТ). Эти процедуры позволяют точно определить размер и локализацию кисты, а также оценить состояние окружающих тканей.
Лечение может варьироваться от наблюдения и регулярного мониторинга до медикаментозной терапии и хирургического вмешательства в зависимости от размера кисты, ее расположения и индивидуальных симптомов пациента.
Рекомендуется вести здоровый образ жизни, избегать стрессов и бережно относиться к своему здоровью, что может помочь в профилактике осложнений, связанных с кистами мозга.
Диагностика и обследование
Для получения точной информации о наличии, размере и расположении кисты используют МРТ или КТ. Чтобы отличить кистозное образование от опухоли, проводят исследование с контрастным веществом: опухоль накапливает контраст, тогда как киста нет.
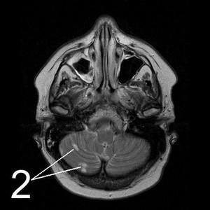
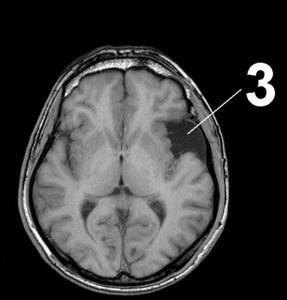
![]() | ![]() | ![]() |
МР-томограммы головного мозга.
1. Киста, возникшая после кровоизлияния в мозг.
2. Кисты мозжечка, возникающие вследствие ишемического инсульта (закупорка сосудов головного мозга).
3. Кистозно-слипчивый арахноидит.
Чтобы предотвратить увеличение и возникновение новых кист, крайне важно точно определить и устранить первопричину их появления. Поэтому мы проводим углубленное обследование для выявления нарушений кровообращения, инфекционных заболеваний и аутоиммунных расстройств.
Доплеровское ультразвуковое обследование сосудов головы и шеи (УЗДГ) дает возможность выявить сужение сосудов, которые обеспечивают мозг кровью. Недостаток кровоснабжения может приводить к локальной гибели мозговой ткани и образованию кист.
Также проводятся исследования сердца (ЭКГ, Эхо-кардиография). Иногда мозг не получает достаточное количество крови в результате нарушений сердечного ритма или сердечной недостаточности.
Анализ крови на свертываемость и уровень холестерина
Увеличенные показатели холестерина и высокая свертываемость крови являются основными факторами, способствующими закупорке сосудов мозга и формированию кист. Эта проблема эффективно решается с помощью современных медикаментов.
Причины образования кист в голове у взрослых
Факторы, способствующие развитию данного состояния, могли бы составить обширный список. Киста может появиться в любом возрасте — от внутриутробного периода до глубокой старости. Практически любое нарушение здоровья способно оказать влияние на мозг. Однако следует выделить группы факторов, повышающих вероятность возникновения новообразования:
- внутриутробные аномалии и нарушения;
- травмы головы;
- недостаток кислорода;
- дегенеративные и дистрофические изменения тканей мозга;
- воспалительные процессы;
- паразитарные инфекции;
- наследственная предрасположенность.
Тем не менее наличие кисты в мозге само по себе не всегда предшествует активному развитию проблемы. Увеличение размера кисты заставляет беспокоиться о здоровье. Обычно этот процесс не активируется самостоятельно. Существуют определенные причины, способствующие его началу:
- повышение давления внутри кисты;
- воспалительные процессы в оболочках;
- сотрясение мозга при существующей кисте;
- инсульт;
- инфекции, приводящие к менингиту;
- несбалансированное питание и плохие привычки, влияющие на общее состояние здоровья.
Внутри головного мозга или на его оболочках может присутствовать несколько кистозных образований, которые могут вести себя по-разному. Существуют доброкачественные кисты, которые не требуют лечения, и классические типы, которые могут вызывать серьезные осложнения. Соседние новообразования за несколько лет могут изменять свой размер и оказывать разное влияние на серое вещество мозга. Поэтому важно регулярно проходить медицинские обследования и соблюдать рекомендации невролога.

В данном тексте добавлена информация о наследственной предрасположенности к образованию кист, а также о влиянии инфекций, плохого питания и привычек на развитие этого состояния. Упомянуто, что существуют как доброкачественные, так и злокачественные кисты с различными последствиями.
К кому обратиться за помощью?
Хотя в большинстве случаев кисты в голове не вызывают серьезных проблем, никто не может гарантировать, что ситуация не ухудшится. Необходим постоянный контроль за такими образованиями. Диагностику и назначение лечения осуществляет специалист:
Первичный осмотр у врача начинается с уточнения клинической картины. Установление возможных причин и особенностей заболевания помогает подобрать наиболее эффективные методы лечения. Перед приемом пациента могут попросить ответить на следующие вопросы:
- Какие симптомы вызывают беспокойство?
- Как долго они продолжаются?
- Были ли травмы головы у пациента?
- Выявлялись ли аномалии при рождении?
- Какие препараты принимались в последние месяцы?
- Был ли инсульт или угроза его возникновения?
- Имелись ли воспалительные заболевания оболочек головного мозга?
На основе ответов врач сможет определить, какие методы обследования будут наиболее информативными. Чаще всего назначают магнитно-резонансную или компьютерную томографию с контрастированием.
Лечение кист в голове у взрослых
Приблизительно в половине случаев необходимость в активном вмешательстве отсутствует, поскольку образования остаются в стабильно спокойном состоянии и не вызывают дискомфорта или нарушений в функционировании мозга. Такие случаи нередко выявляются случайно при диагностике других заболеваний. В целом лечение кист в голове зависит от следующих факторов:
- размер;
- локализация;
- тип ткани;
- явные или скрытые симптомы;
- возраст пациента;
- наличие сопутствующих заболеваний.
Для замедления роста кисты часто требуется устранить воздействие негативных факторов — последствий инсультов, черепно-мозговых травм, воспалений и инфекций. В некоторых случаях может понадобиться экстренное хирургическое вмешательство, которое может спасти жизнь пациента. К таким состояниям относятся:
- частые судорожные приступы;
- значительное увеличение размера кисты;
- повышенное давление на головной мозг;
- гидроцефалия;
- разные виды кровоизлияний.
Своевременная операция позволяет избежать серьезных последствий, связанных с нарушением работы клеток головного мозга. К таким последствиям относятся психические расстройства, потеря слуха и зрения, параличи, а также изменения в личности и памяти. На сегодняшний день в медицине наиболее часто применяются следующие виды операций:
- шунтирование;
- инвазивные процедуры с трепанацией черепа;
- эндоскопические вмешательства.
Киста в головном мозге может рассосаться самостоятельно только в случае, если она образовалась в процессе эмбрионального развития. В иных ситуациях необходимы медикаментозное или хирургическое лечение в случае необходимости.









