Эстетическая стоматология — это область dentistry, которая фокусируется на улучшении внешнего вида зубов, десен и улыбки в целом. Она включает в себя различные процедуры, направленные на коррекцию форм, цвета и положения зубов, что позволяет клиентам достичь уверенности и удовлетворенности своим внешним видом.
К основным направлениям эстетической стоматологии относятся:
- Отбеливание зубов: Процесс, который помогает удалить налет и пигментацию, что делает зубы более белыми и яркими.
- Виниры: Тонкие керамические или композитные накладки, которые наклеиваются на переднюю поверхность зубов для улучшения их внешнего вида.
- Коронки: Заменяют разрушенные или сильно испорченные зубы, восстанавливая их функцию и эстетику.
- Имплантация: Установка искусственного зуба, который практически невозможно отличить от натурального.
- Ортодонтия: Правка неблагозвучных или неровных зубов с помощью брекетов и других ортодонтических систем.
Эстетическая стоматология не только улучшает внешний вид, но и может оказывать положительное влияние на здоровье рта, восстанавливая правильный прикус и улучшая жевательную функцию. Если вы задумываетесь об изменении своей улыбки, рекомендуется проконсультироваться с квалифицированным стоматологом-эстетистом для выбора наиболее подходящих процедур для ваших нужд.
Что такое эстетическая стоматология?

Эстетическая стоматология — это передовая область медицины, направленная на исправление и восстановление зубов с различными повреждениями, такими как трещины, сколы, изменения цвета, длины или формы зубной эмали. Это направление известно уже много лет и занимает важное место в практике стоматологических клиник, стремящихся восстановить и подчеркнуть красоту улыбки пациентов.
Что может предложить эстетическое восстановление зубов:
- Удаление мелких повреждений, таких как царапины и сколы;
- Изменение оттенка зубов;
- Реставрация поврежденных зубов после травм;
- Устранение промежутков между зубами;
- Эстетическое выравнивание зубного ряда;
- Коррекция последствий Bruxism;
- Изменение формы, длины и ширины зубов.
Положительные стороны восстановления зубов:
- Возможность обрести желаемую привлекательную улыбку;
- Восстановление функциональности зубного ряда;
- Безболезненные процедуры с применением анестетиков;
- Разнообразие методов (протезирование, коронки, виниры).
Процесс восстановления зубов включает возвращение им первоначальной структуры, функции и эстетики. Восстановленный зуб должен исполнять такие же функции, как и здоровый. Это особенно важно для жевательных зубов, где эстетические аспекты могут не быть основными.

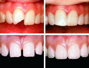
Любые изменения цвета или формы зубов могут привлечь лишнее внимание в неподходящий момент. Эстетическая стоматология предлагает решения для исправления таких недочетов, включая трещины, пятна и сколы.
В современной стоматологии выделяются две главные техники восстановления зубов с акцентом на их эстетику:
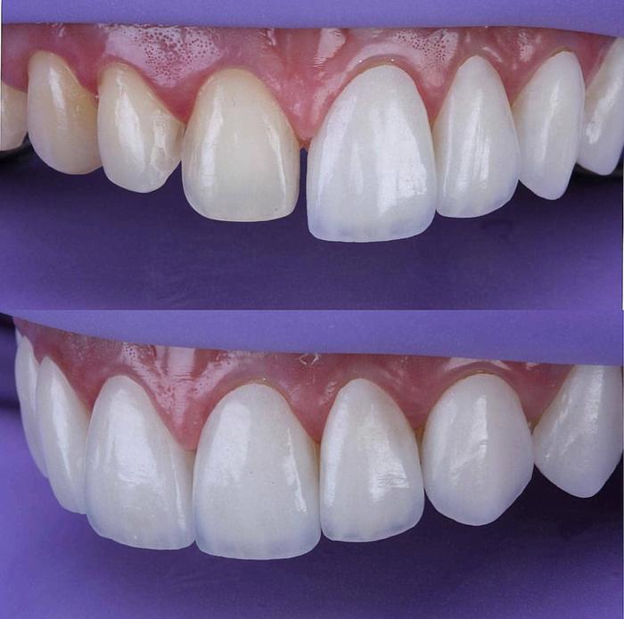
- Виниры — тонкие керамические пластинки, которые накладываются на переднюю поверхность зуба для коррекции его цвета и формы. Виниры могут скрыть дефекты, такие как трещины и сколы, а также изменить оттенок зубов, обеспечивая естественный вид.
- Композитные реставрации — восстановление зуба с использованием специального композитного материала, который полимеризуется и затвердевает. Этот метод позволяет создавать эстетичные и прочные зубные реставрации, которые могут быть сделаны в один визит к стоматологу.
Все большее внимание уделяется использованию цифровых технологий, таких как CAD/CAM системы, которые позволяют проектировать и изготавливать протезы и виниры с высокой точностью. Это обеспечивает не только идеальную эстетику, но и более короткие сроки лечения.
Важно отметить, что эстетическая стоматология не только улучшает внешний вид, но и способствует поддержанию здоровья полости рта. Поэтому важно регулярно посещать стоматолога для профилактических осмотров и профессиональной гигиены.
Настоящая дополнение предоставляет информацию о техниках восстановления зубов и современных технологиях, используемых в эстетической стоматологии, в том числе описания виниров, композитных реставраций и цифровых технологий.
1. Установка стоматологических виниров
Виниры — это индивидуально изготовленные керамические накладки, предназначенные для реставрации видимой части зубов.

Установка виниров помогает устранить многие недостатки зубного ряда и достичь впечатляющих эстетических результатов. Они формируют красивую белую улыбку, что придаёт уверенности их обладателю.
Зубные виниры представляют собой тонкие пластины, толщиной от 0,3 до 0,5 мм, которые приклеиваются на фронтальную часть зубов. Они могут использоваться для покрытия изношенной эмали, коррекции небольших неровностей и устранения сколов.

Виниры обеспечивают идеальную симметричную улыбку, однако требуется небольшая подготовка верхнего слоя эмали зубов, что стоит учитывать.
Процесс установки виниров обычно включает несколько этапов. Сначала стоматолог проводит консультацию, во время которой обсуждаются пожелания пациента и выполняется диагностика. Затем следует процесс подготовки зубов: это может быть шлифовка эмали для создания пространства для винира и снятие слепков для их индивидуального изготовления.
После этого виниры тщательно устанавливаются на зубы с помощью специального стоматологического цемента. Стоматолог проверяет правильность установки и при необходимости вносит коррективы. Процедура может занять от одной до нескольких встреч, в зависимости от сложности случая и количества виниров.
Кроме того, стоит помнить о правильном уходе за винирами. Несмотря на их прочность, необходимо избегать чрезмерной нагрузки на зубы, например, открывания упаковок или кусания твердых предметов. Регулярная гигиена полости рта, включая чистку зубов и использование зубной нити, поможет сохранить виниры в хорошем состоянии на долгие годы.
Наконец, следует учитывать, что срок службы виниров варьируется, но при должном уходе они могут служить от 5 до 15 лет и более.
Основные процедуры эстетической стоматологии
Зубное отбеливание
Процесс отбеливания зубов — это широко востребованная процедура, позволяющая осветлить зубы и удалить пятна, образовавшиеся в результате употребления кофе, чая или курения. Существует несколько методов отбеливания: в клинике у специалиста, с использованием домашних наборов и специальных паст.
Виниры и люминиры
Виниры — это тонкие пластины, которые значительно улучшают внешний вид зубов, корректируя их форму, размеры и цвет. Люминиры — это современный аналог виниров, которые требуют минимального воздействия на эмаль.
Композитные реставрации
С помощью композитных материалов происходит восстановление поврежденных зубов, что обеспечивает естественный внешний вид и скрывает разнообразные дефекты.
Имплантация зубов методом All-on-4
Метод All-on-4 представляет собой инновационное решение для восстановления отсутствующих зубов, позволяя быстро восстановить как жевательную функцию, так и эстетический вид зубного ряда с помощью всего четырех имплантов.
Ортодонтия
Ортодонтия занимается исправлением зубного ряда и прикуса. Современные методы включают использование брекетов и непрозрачных кап, что позволяет улучшить оба аспекта — внешний вид и здоровье полости рта.
Гингивопластика
Гингивопластика — процедура, обеспечивающая улучшение симметрии улыбки и коррекцию десневой линии. Она может проводиться как самостоятельная процедура, так и в тандеме с другими вмешательствами.
Выгоды эстетической стоматологии
Эстетическая стоматология предлагает множество преимуществ:
- Улучшение внешнего вида и улыбки;
- Повышение уровня самоуважения и качества жизни;
- Поддержание здоровья зубов и десен посредством современных технологий;
- Оперативные и безболезненные процедуры.
Что важно знать об установке виниров?

Определение виниров
Виниры — это фиксированные ортопедические конструкции, накладки на передней поверхности зубов, создающие впечатляющий и аккуратный зубной ряд.
Типы виниров
Виниры бывают различных материалов: керамические, композитные и циркониевые.
- Композитные (служат 3-8 лет): могут быть изготовлены двумя способами — прямо на зубе или в лаборатории, в зависимости от желаемого результата.
- Керамические (служат 10-15 лет): более прочные и долговечные, делают из стоматологического фарфора и фиксируются непрямым методом.
Виниры: все аспекты установки и выбираемых материалов
Керамические пласты могут производиться с помощью прессования или послойной выкладки (рефракторные). Прессованные виниры представляют собой комбинацию фарфора и цветной полевошпатной керамики, придающей зубу естественный вид. Их толщина составляет от 0,3 до 0,7 мм. Рефракторные виниры, известные как ультратонкие, имеют толщину всего 0,1-0,2 мм и создают эффект сияющей улыбки. Они требуют всего лишь поверхностного шлифования зуба, однако не подходят для значительных неровностей и потемнений. Ультраниры дороже, так как их производство требует более сложных технологий, и не каждый специалист комплектует их установку.
Циркониевые виниры
Эти накладки создаются с использованием метода компьютерного моделирования. Основой служит диоксид циркония, а верхний слой — керамика. Возможны и цельные циркониевые пластины. Пока такая разновидность виниров не так распространена из-за высокой цены, но демонстрирует выдающиеся качества прочности и долговечности.
Этапы установки виниров
Рассмотрим два основных способа их установки:
- Прямой — для композитных;
- Непрямой — для композитных, керамических и циркониевых.
Прямой способ аналогичен процессу композитной реставрации. Дальше я опишу процесс установки непрямым способом:
- Консультация и предварительная подготовка
На консультации врач поможет выбрать самый подходящий вариант винирования в зависимости от особенностей зубов пациента и его бюджета. Также на этом этапе проводится лечение кариеса и профессиональная чистка. Специалист подбирает цвет и форму пластинок. Для согласования итогового результата с пациентом создается восковая модель перед основными манипуляциями.
- Подготовка излишков эмали и снятие слепка
Во время установки виниров фронтальная часть зубов обрабатывается, с небольшого участка эмали снимается тонкий слой. Специалист делает слепок и отправляет его в зуботехническую лабораторию для создания идеально подходящих накладок. В среднем изготавливаются слепки около двух недель, поэтому предварительно обточенные зубы временно закрываются пластиковыми накладками.
- Примерка и закрепление виниров
Если пациент и врач довольны процессом примерки готовых накладок, то врач фиксирует их с помощью специального стоматологического клея-цемента, подобранного по цвету.
Показания и ограничения для установки виниров
Установка виниров нецелесообразна в следующих случаях:
- наличие бруксизма или слабой истираемости зубов;
- отсутствие нескольких моляров в ряду;
- заболевания, связанные с смещением нижней челюсти;
- значительное искривление зубного ряда.
Депульпированные и пломбированные зубы не будут противопоказанием, если на передней стороне зуба осталась достаточная толщина эмали для крепления.
Виниры можно использовать, чтобы скрыть:
- потемневшую эмаль;
- плёнки на передних зубах;
- коэффициенты повреждений, диастемы и другие очевидные дефекты;
- некоторые неровные зубы, если остальные зубы останутся ровными.
Плюсы и минусы установки
Преимущества
- Достижение высокого эстетического эффекта улыбки;
- Не требуется серьезное вмешательство;
- Восстановление цвета зуба, его формы и функциональности без удаления нерва;
- Не нужно удалять зуб, чтобы достичь желаемого результата;
- Устранение явных повреждений за одно посещение стоматолога;
- Долговременный эффект от процедуры;
- Сохранение здоровья и крепости собственных зубов;
- Улучшение функций речи и жевания после лечения;
- Отсутствие боли, дискомфорта и осложнений на всех этапах лечения;
- широкий выбор решений, соответствующих различным клиническим ситуациям;
- легкость ухода за зубами и ротовой полостью после проведения процедуры;
- низкая вероятность изменения цвета зубов под влиянием пищевых пигментов.
Минусы
- риск повреждения реставрации;
- недостаточная прочность и надежность;
- продолжительное лечение (при использовании непрямого метода) и необходимость частого визита к специалисту;
- высокая цена.
Способы эстетической стоматологии
В эстетической стоматологии используются различные техники, которые могут помочь в самых разнообразных ситуациях.
Терапевтические методы
Терапевтические процедуры в эстетической стоматологии включают множество техник и относятся к прямым методам. При их применении все необходимые действия по восстановлению выполняются прямо в ротовой полости пациента.
Прямые методы требуют всего одного визита к стоматологу, имеют доступную стоимость и обеспечивают высокую эстетичность. Однако есть недостатки: необходимо соблюдать специальную диету после процедуры и строго придерживаться правил гигиены полости рта. Терапевтическое восстановление зубов включает в себя:
- Лечение десневых карманов. Эта процедура включает тщательное очищение поддесневых полостей от патологического содержимого и последующую пластику десен.
- Лечение кариеса. Это необходимо для остановки воспалительного процесса в твердых тканях зуба, предотвращения его ухудшения и восстановления нормальной формы и функции зуба.
- Пломбирование. Такой метод коррекции способствует восстановлению формы и функциональности зуба с использованием высококачественных композитных материалов, которые отличаются отличной эстетикой и прочностью. Оттенок материала подбирается индивидуально, в зависимости от требований пациента.
- Отбеливание зубов. Эта процедура направлена на осветление эмали и достижение прекрасного эстетического результата с применением разнообразных техник и специализированных химических веществ.
Ортопедические технологии
Эти методы коррекции улыбки относятся к непрямым подходам. Во время такого лечения реставрационные изделия создаются в лаборатории после снятия слепков челюстей пациента и затем закрепляются на поврежденных зубах.
К преимуществам данного метода относятся долгий срок службы, устойчивость к окрашиванию от пищи и защита зубов от повреждений. Недостатком является высокая стоимость и необходимость зубной препарирования.
К ортопедическим методам относятся:
- Виниры. Это керамические накладки, изготавливаемые специально для пациента в зуботехнической лаборатории. Они устанавливаются на переднюю поверхность зуба с использованием гипоаллергенного адгезивного состава. Виниры имеют долгий срок службы, однако требуют небольшого обтачивания зубной эмали и стоимости.
- Люминиры. Тонкие керамические пластины, которые устанавливаются на фронтальную часть зубов и не требуют обтачивания. Люминиры обеспечивают отличную эстетику, но имеют завышенную цену.
- Коронки. Эти конструкции представляют собой защитный колпачок, который закрывает зуб со всех сторон, восстанавливая его эстетическую форму и защищая от химических и механических воздействий. Наилучшими материалами для таких изделий считаются диоксид циркония, керамика и стеклокерамика. Установка коронки может потребовать депульпирования и, в некоторых случаях, установки штифта или вкладки.
- Реставрация вкладкой. Эти микропротезы изготавливаются в зуботехнической лаборатории и устанавливаются на моляры и премоляры. Вкладки помогают восстановить нормальную функцию зуба и улучшить внешний вид улыбки.
Отбеливание маляров: восстановление естественной белизны
Если маляры утратили свою природную белизну из-за кофе, чая или никотина, их можно вернуть к первоначальному состоянию с помощью профессионального отбеливания, при этом эмаль останется нетронутой, а улыбка вновь станет ослепительной.
Цели процедуры
С помощью современных материалов возможно устранение небольших дефектов за один визит. Для установки виниров потребуется легкое обтачивание внешний поверхности маляра, однако это не приведет к его повреждению. Если обтачивание недопустимо, можно обратиться к люминирам, которые не требуют этого процесса и имеют минимальную толщину.
Существует множество методов отбеливания, и для достижения наилучшего результата важно учитывать, что качество зубов на начальном этапе напрямую влияет на конечный эффект.
Также следует помнить, что перед отбеливанием полость рта должна быть здоровой. Рекомендуется провести диагностику и, при необходимости, лечение у стоматолога перед началом процедуры отбеливания.
Современные технологии в стоматологии позволяют достигать удивительных результатов в области эстетического лечения, обеспечивая качество обслуживания и удовлетворение потребностей клиентов.






