Эндоселлярная аденома гипофиза — это доброкачественная опухоль, возникающая в области гипофиза, который располагается в турецком седле в основании черепа. Эта опухоль может вызывать различные симптомы, связанные с избыточной выработкой гормонов, что может негативно сказываться на общем состоянии здоровья пациента.
Диагностика эндоселлярной аденомы обычно включает в себя нейровизуализационные исследования, такие как магнитно-резонансная томография (МРТ). Лечение возможно как консервативными методами (например, гормональная терапия), так и хирургическим вмешательством, если опухоль вызывает значительные нарушения в организме или продолжает расти.
Аденомы гипофиза
Аденома гипофиза (АГ) представляет собой доброе образование, происходящее из клеток передней области гипофиза (аденогипофиза).
Классификация по продуктивности гормонов:
По уровню гормональной активности аденомы гипофиза делятся на активные и неактивные (не выделяющие гормоны). К числу гормонально активных относятся четыре основных типа: пролактин-секретирующие (пролактиномы), соматотропин-секретирующие (соматотропиномы), АКТГ-секретирующие (кортикотропиномы) и ТТГ-секретирующие аденомы. Также существуют гонадотропин-секретирующие АГ, однако их часто классифицируют как гормонально неактивные из-за нечеткой клинической картины.
Клинические проявления
- Пролактиномы (АГ, выделяющие пролактин).
 - Соматотропиномы (АГ, выделяющие СТГ – соматотропный гормон).
 - Кортикотропиномы (АГ, выделяющие АКТГ – адренокортикотропный гормон).
 - Тиреотропиномы (АГ, выделяющие ТТГ – тиреотропный гормон).
 
- Потеря остроты зрения;
 - Сужение полей зрения;
 - Косоглазие (встречается редко).
 
Методы диагностики
Установление диагноза АГ основывается на анализе клинических симптомов, данных МРТ мозга и гормональных тестов пациента. Порядок проведения обследования зависит от врача, к которому обратился пациент. Если есть подозрение на аденому гипофиза, требуется комбинированное использование лабораторной и лучевой диагностики (МРТ).
МРТ мозга должно проводиться с контрастной визуализацией. При обнаружении опухолевого образования в области гипофиза следует проконсультироваться с нейрохирургом.

 
 
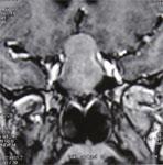
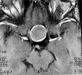
Рис. 1. МРТ мозга с контрастом. Эндосупраинфраселлярная макроаденома гипофиза, сжимающая зрительные нервы и III желудочек мозга.
Лабораторные исследования охватывают анализ гормональных уровней для определения типа аденомы. Это включает анализ крови на тропные гормоны гипофиза и гормоны периферических желез.
После диагностики требуется консультация нейрохирурга и эндокринолога для решения вопроса о необходимости операции.
- Краниофарингиома;
 - Менингиома бугорка;
 - Киста кармана Ратке;
 - Пустое турецкое седло;
 - Дермоидная киста;
 - Глиома зрительных нервов.
 
- 90% аденом могут быть удалены через нос с использованием эндоскопической техники.
 - Период восстановления после операции минимален, пациенты быстро возвращаются к нормальной жизни.
 - Аденомы, не вызывающие клинических симптомов, могут контролироваться без лечения, однако важно регулярное обследование.
 - В случае гормонально активных аденом может потребоваться медицинская терапия для управления симптомами до или после хирургического вмешательства.
 
Аденомы гипофиза, не вызывающие неврологических или гормональных нарушений, обычно требуют регулярного наблюдения и обследований (раз в 6-12 месяцев).

Рис. 2. Пациент на операционном столе.

Рис. 3. Маркировка аденомы на виртуальной модели в системе безрамной нейронавигации.

Рис. 4. Трансназальный эндоскопический доступ к турецкому седлу.
Врач определяет необходимость терапии и мониторинга роста опухоли по клиническим симптомам и результатам обследования.
В дополнении была добавлена информация о том, что аденомы, не вызывающие клинических симптомов, контролируются без лечения, а также упомянуто о возможности медицинской терапии для гормонально активных аденом.
Аденома гипофиза (подвид опухолей головного мозга)

Аденомы гипофиза занимают третье место среди опухолей центральной нервной системы и составляют от 7 до 18% всех внутричерепных новообразований. Они чаще всего диагностируются в возрасте от 20 до 50 лет и встречаются у мужчин и женщин практически с одинаковой частотой. Распространенность составляет 1,6 на 100 000 населения.
В большинстве случаев аденомы гипофиза являются доброкачественными, но из-за их расположения в черепе может возникнуть необходимость в быстром хирургическом вмешательстве.
- Нарушения зрения (снижение остроты и сужение полей);
 - Эндокринные нарушения (в зависимости от вовлеченных гормонов):
 - Изменения менструального цикла у женщин, снижение либидо у мужчин;
 - Состояние акромегалии, избыточная потливость;
 - Синдром Кушинга (избыточный вес, высокое давление);
 - Гигантизм у детей (ускоренный рост);
 - Неврологические симптомы: головные боли, головокружения, ухудшение памяти.
 
Классификация аденом гипофиза:
- Микроаденомы (без изменений в размере турецкого седла);
 - Небольшие (16 – 25 мм);
 - Средние (26 – 35 мм);
 - Большие (36 – 59 мм);
 - Гигантские (более 60 мм).
 
Аденома гипофиза
Аденома гипофиза: причины возникновения, симптомы, диагностика и методы лечения. Аденома гипофиза характеризуется доброкачественным новообразованием, возникающим из клеток передней доли гипофиза. Обычно опухоль растет медленно, однако ее прогрессирование может вызывать неврологические, эндокринные и нейроофтальмологические проблемы, которые приводят пациентов к врачам.
Аденомы гипофиза занимают третье место среди всех опухолей ЦНС и составляют до 19% всех внутричерепных новообразований.
- черепно-мозговые травмы;
 - туберкулез, бруцеллез;
 - нейросифилис;
 - энцефалит, менингит;
 - абсцесс мозга;
 - долгосрочное и неконтролируемое применение противозачаточных средств.
 
Классификация аденом гипофиза:
- Микроаденомы, когда изменения в размерах турецкого седла отсутствуют;
 - Небольшие (16-25 мм);
 - Средние (26-35 мм);
 - Крупные (36-59 мм);
 - Гигантские (более 60 мм).
 
Топографоанатомическая классификация аденом гипофиза:
- эндоселлярные аденомы – образования, не выходящие за пределы турецкого седла;
 - эндоэкстраселлярные аденомы – опухоли, которые выходят за пределы турецкого седла;
 - супраселлярный рост – распространение опухоли в полость черепа;
 - латероселлярный рост – распространение опухоли в кавернозный синус и/или под твердую мозговую оболочку;
 - инфраселлярный рост – распространение опухоли в основную пазуху и/или носоглотку;
 - антеселлярный рост – распространение опухоли в решетчатый лабиринт и/или орбиту;
 - ретроселлярный рост – распространение опухоли в заднюю черепную ямку.
 
Что касается гормональной активности:
- гормонально неактивные аденомы гипофиза;
 - гормонально активные аденомы гипофиза:
 - пролактин-секретирующие (ПРЛ),
 - СТГ-секретирующие (соматотропный гормон),
 - АКТГ-секретирующие (аденокортикотропный гормон),
 - ТТГ-секретирующие (тиреотропиномы),
 - смешанные формы.
 
Симптомы аденомы гипофиза могут включать неврологические, нейроофтальмологические и гормональные расстройства. При наличии гормонально неактивной аденомы большого размера следует ожидать офтальмологические проявления, такие как частичное выпадение полей зрения и атрофия зрительных нервов.

Рост аденомы в сторону гипоталамуса может проявляться нарушением терморегуляции, повышенным аппетитом и эмоциональными колебаниями, такими как резкие изменения настроения. Давление на желудочек мозга может вызывать головные боли и симптомы повышения внутричерепного давления.
Метаболические и эндокринные расстройства более характерны для аденом, активно выделяющих гормоны. Пролактинома может вызывать сбои в менструальном цикле и бесплодие у женщин. Соматотропинома приводит к гигантизму у детей и акромегалии у взрослых. Кортикотропинома может спровоцировать отложение жира и привести к гипертензии. Тиреотропинома проявляется симптомами гипертиреоза или гипотиреоза в зависимости от своего характера.
Для диагностики аденомы гипофиза используются такие методы, как:
- Магнитно-резонансная томография (МРТ) – позволяет точно визуализировать размеры и расположение опухоли;
 - Компьютерная томография (КТ) – используется реже, но может быть полезной при подозрении на кальцификацию;
 - Гормональные тесты – помогают определить уровень гормонов в крови и их соотношение, что важно для классификации аденомы;
 - Офтальмологические исследования – проверка полей зрения для оценки влияния опухоли на зрительные нервы.
 
Методы лечения аденомы гипофиза включают:
- Медикаментозное лечение – использование агонисов допамина, например, каберголина или бромокриптина, особенно при пролактиномах;
 - Хирургическое вмешательство – транссфеноидальная резекция, как правило, предпочтительный метод для удаления крупных аденом;
 - Лучевая терапия – применяется при неэффективности других методов лечения или в случае рецидива опухоли.
 
При аденоме гипофиза важно раннее выявление и лечение, чтобы предотвратить серьезные осложнения и улучшить качество жизни пациентов.
Признаки и методы диагностики гипотиреоза и аденомы гипофиза
Гипотиреоз, характеризующийся пониженной активностью щитовидной железы, может проявляться множеством симптомов, среди которых можно выделить:
- ощущение слабости;
 - повышенную утомляемость;
 - наблюдаемый набор веса;
 - явления отечности;
 - замедленность реакций, ухудшение памяти и концентрации;
 
К числу аденом гипофиза относятся гонадотропиномы, способные спровоцировать синдром гиперстимуляции яичников у женского пола. Основные проявления этого состояния включают:
- отечность живота;
 - боли в области живота, зачастую не имеющие четкой локализации;
 - тошноту и/или рвотные позывы;
 - ощущение сухости во рту;
 - проблемы со стулом — запоры или диарею;
 - одышку, кашель, усиливающийся при горизонтальном положении;
 - уменьшение объема мочи;
 - отеки наружных половых органов, брюшной стенки и нижних конечностей;
 - слабость, головокружение, а Визуальные помехи в виде «мошек» перед глазами;
 - необоснованное быстрое увеличение массы тела.
 
Методы диагностики аденомы гипофиза
Для визуального обследования области турецкого седла применяются рентгенологические методы. На краниографии (рентгенографическом снимке черепа) можно обнаружить увеличение размеров турецкого седла, расширение входа в него и сглаженность спинки. Однако данные признаки становятся заметными лишь при наличии макроаденомы (крупной аденомы). Изменения, вызванные микроаденомами, не поддаются диагностике с помощью рентгенографии.







