Краниовертебральный переход — это анатомическая область, расположенная на стыке черепа и позвоночника, включающая в себя атлантоокцингеальные и атлантоосевые суставы. Эта зона играет ключевую роль в поддержании равновесия головы и обеспечении подвижности шеи, а также является важной частью структуры центральной нервной системы.
Из-за своей уникальной анатомии краниовертебральный переход подвержен различным травмам и патологическим изменениям, что может привести к компрессии спинного мозга и нервных корешков. Заболевания в этой области требуют внимательной диагностики и зачастую специализированного подхода в лечении.
Цели МРТ краниовертебрального перехода
Краниовертебральный переход – это особая зона, где соединяются затылочная кость черепа и позвоночник. Этим местом часто затрагиваются дегенеративные изменения и воспаления из-за его анатомических характеристик, что влечет за собой необходимость диагностики и лечения. МРТ краниовертебрального перехода — это единственно эффективный способ осуществления быстрой и бесконтактной визуализации тканей этой области. Процедура может применяться как для первичной диагностики, так и для подтверждения наличия патологий.
Данная методика позволяет получить изображения следующих анатомических структур:
- Кости черепа и позвонки шейного отдела.
- Мышцы.
- Состояние связок.
- Кровеносные сосуды.
- Структуры мозга.
- Спинной мозг.
Одним из преимуществ МРТ краниовертебрального перехода является отсутствие радиационного воздействия на организм. Эта процедура не вызывает дискомфорта и боли, поэтому ее можно выполнять многократно, в зависимости от клинической необходимости, и она не имеет возрастных ограничений. Метод абсолютно безопасен.
Кроме того, МРТ краниовертебрального перехода применяют для диагностики различных заболеваний, таких как:
- Остеохондроз шейного отдела позвоночника.
- Травмы и заболевания шейного отдела позвоночника, в том числе вывихи и переломы.
- Дегенеративные изменения в межпозвонковых дисках.
- Аномалии развития краниовертебрального перехода.
- Воспалительные заболевания, такие как менингит.
- Опухоли, как доброкачественные, так и злокачественные.
С помощью МРТ также можно оценить состояние неврологических функций пациента и выявить возможные причины головных болей и других неврологических симптомов. Необходимо отметить, что в ряде случаев врачи могут назначить МРТ с использованием контрастного вещества для более точной визуализации сосудистых структур и выявления патологий. Однако применение контраста производится только по строго определенным показаниям.
Перед проведением МРТ краниовертебрального перехода важно проконсультироваться с врачом и обсудить все возможные риски и подготовительные мероприятия, чтобы гарантировать аккуратное и точное проведение процедуры.
Заболевания, выявляемые при исследовании краниовертебрального перехода
Что именно можно увидеть на МРТ краниовертебрального перехода, зависит от клинической ситуации. В ходе обследования исследуются ткани этой специфической области, включая:
- Затылочную кость и основание черепа.
- Головной мозг.
- Спинной мозг.
- Первичные позвонки шейного отдела.
- Кровеносные сосуды.

Результаты исследования могут показать аномалии развития, патологии костных и мышечных структур, сосудов и нервных тканей. К числу возможных заболеваний и изменений относятся:
- Платибазия – изменение формы черепа, характеризующееся его уплощением.
- Базилярная импрессия – выпячивание второго шейного позвонка.
- Смещения позвонков – могут возникать в результате травм или врожденных особенностей.
- Вывихи – последствия механических воздействий.
- Аномалия Арнольда-Киари – изменение нормального анатомического положения продолговатого мозга и мозжечка.
- Подвывихи.
- Сращения позвонков.
- Патологии мягких тканей.
МРТ предоставляет полное представление о состоянии анатомической области и позволяет быстро оценить её состояние.

Безопасна ли процедура МРТ краниовертебрального перехода?
МРТ головы является совершенно безопасным процессом. В ходе исследования краниовертебрального перехода не используется рентгеновское излучение, что делает его подходящим для людей, находящихся на искусственной вентиляции или в медикаментозном сне. Процедура не вызывает боли и, как правило, занимает от 20 до 60 минут.
Важно помнить, что перед проведением МРТ необходимо проинформировать врача о наличии кардиостимуляторов, имплантатов, металлических предметов в организме или аллергии на контрастные вещества, если планируется их использование.
- Переломы и вывихи шейных позвонков;
- Скованность и боли в области шеи;
- Травмы мягких тканей и связок;
- Аномалии развития;
- Воспалительные процессы и новообразования;
- Оценка состояния после травм или операций;
- Мониторинг хронических заболеваний, таких как остеохондроз или спондилит;
- Помощь в диагностики заболеваний центральной нервной системы.
Процедура МРТ безопасна для большинства пациентов, однако перед проведением исследования стоит обсудить все возможные риски и противопоказания с вашим врачом.
Переломы первого-второго шейных позвонков
Перелом шейного позвонка является серьезной травмой. Ущерб костной ткани в этой области несет опасность для здоровья и жизни. МРТ краниовертебрального перехода и шейного отдела позвоночника позволяет провести точную диагностику в таких случаях.
Процесс выполнения МРТ краниовертебрального перехода
Процедуру выполняют с помощью аппарата, который состоит из передвижного стола и большого тоннеля. Он создает магнитное поле с напряжением от 1,5 Тл. Качество изображений, получаемых во время сканирования, зависит от мощности тогоографа.
Пациент располагается на спине, и его тело фиксируют. Для защиты от шума используются наушники, а связь с медицинским персоналом осуществляется через переговорное устройство. В зону сканирования помещается градиентная катушка. Пациент сдвигается в тоннель томографа.

Во время процедуры важно сохранять неподвижность, которая длится от 15 до 30 минут.
В некоторых случаях для повышения информативности используют контрастное усиление. Это помогает лучше визуализировать сосуды и межклеточное пространство, позволяя детальнее изучить состояние исследуемой области.
Показания и противопоказания для МРТ краниовертебрального перехода
МРТ может быть назначено на первичном приеме или использоваться как дополнительный метод для уточнения диагноза.
Показания для проведения МРТ краниовертебрального перехода включают:
- Подозрение на наличие новообразований;
- Травмы головы и шеи с нарушениями анатомии;
- Повреждения мышц и связок;
- Проблемы с мозговым кровообращением;
- Остеохондроз шейным отдел;
- Аномалии, как врожденные, так и приобретенные;
- Мигрени и хронические головные боли, не поддающиеся лечению;
- Обострение неврологических симптомов, таких как онемение и слабость в конечностях;
- Контроль за динамикой после проведенного лечения в данной области.

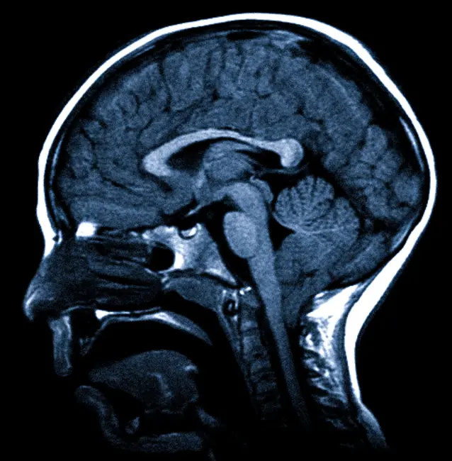
Аномалия Киари на снимке МРТ.
Наличие поражений в краниовертебральной зоне может проявляться следующими симптомами:
- Судороги и обмороки;
- Снижение слуха с обеих сторон;
- Головные боли и рвота;
- Непоследовательная походка;
- Вынужденное положение головы;
- Проблемы с органами малого таза;
- Нарушения в координации движения;
- Чувство «покалывания» или онемения в области шеи и головы;
- Депрессия и острые психические расстройства без видимых причин.
МРТ краниовертебрального перехода может быть выполнено перед операциями или в процессе реабилитации для уточнения расположения и размеров патологий.
Процедура МРТ абсолютно безопасна для пациента, но имеются некоторые противопоказания. К ним относятся:
- Наличие металлических имплантатов, таких как кардиостимуляторы;
- Беременность на ранних сроках (при отсутствии острого состояния);
- Крайняя клаустрофобия (возможен выбор открытого МРТ-аппарата);
- Проблемы со слухом, если использование дополнительных упрощений не представляется возможным;
- Достаточно острое состояние пациента, когда требуется более быстрая диагностика другими методами.
Перед выполнением процедуры необходимо проинформировать врача обо всех имеющихся заболеваниях и состояниях, чтобы оценить возможность проведения исследования.
МРТ краниовертебрального перехода
Услуги по МРТ краниовертебрального перехода в ОН КЛИНИК
Современное оборудование Международного медицинского центра ОН КЛИНИК и квалификация наших специалистов позволяют эффективно решать разнообразные медицинские задачи. Для наших экспертов не существует мелочей, каждая деталь важна, а результаты исследования, включая МРТ краниовертебрального перехода, будут исключительно точными.
Одно из значительных преимуществ нашего многопрофильного центра состоит в том, что вскоре после диагностики можно обратиться к профильным врачам, которые предложат наиболее подходящее лечение именно для вас. Они помогут вам в борьбе с заболеванием.
Внимание к каждому пациенту, индивидуальный подход и создание комфортной среды — все это получают наши пациенты. Мы работаем без выходных и праздников, и вы можете записаться на исследование с 9:00 до 23:00.
Безопасность МРТ краниовертебрального перехода
Данное исследование абсолютно безопасно и позволяет его выполнение даже беременным (за определенными исключениями в первые двенадцать недель).
Рекомендации для проведения МРТ данной области могут быть связаны с:
- Частыми и сильными головными болями;
- Ограничением подвижности в области шеи;
- Подозрениями на аномалии в краниовертебральном переходе;
- Подозрениями на артрит, грыжи межпозвонковых дисков верхней части позвоночника и новообразования;
- Травмами шейного отдела;
- Подозрениями на воспалительные процессы и аномалии в позвоночнике.
Что можно увидеть на МРТ краниовертебрального перехода
- Травмы, такие как вывихи и подвывихи в атланто-дентальном соединении, переломы зубовидного отростка;
- Аномалии, как врожденные, так и приобретенные: аномалия Арнольда-Киари, базилярная импрессия, платибазия, аномалия Клиппеля-Фейля (сращение шейных позвонков), окципитализация атланта;
- Воспалительные и дегенеративные изменения, такие как артроз, остеохондроз, арахноидиты;
- Метастазы и опухоли.
МРТ атланто-дентального соединения
Атланто-дентальное соединение включает в себя суставы и связки между первым и вторым позвонками шейного отдела. Различные патологические состояния, такие как воспалительные или травматические изменения, могут влиять на его функциональность. МРТ позволяет с высокой точностью диагностировать данные изменения.
При таких заболеваниях, как ревматоидный артрит или остеохондроз, касающиеся атланто-дентального соединения, только МРТ дает возможность оценить степень воспалительного процесса и с его помощью врач может составить адекватные рекомендации по лечению и реабилитации. В случае травмы шеи данная диагностика позволяет оценить степень повреждения связок и состоянии суставов. На основании полученных результатов врач определяет, нужна ли операция или достаточно консервативной терапии с фиксированием шеи и головы.
Спортсмены, занимающиеся контактными видами спорта или гимнастикой, подвержены риску микротравм в области краниовертебрального перехода, которые можно выявить только с помощью МРТ. На основе полученных данных назначаются реабилитационные программы для предотвращения хронических изменений и болевого синдрома в шее.






